"Bitkisel Kozmetik"
Arsenik Zehirlenmesinde Tanı ve Stratejik Arınma
Dr. Aleksi
1/5/20264 min oku


.
Bildiklerimiz bize, arseniği sadece bir "element" olarak değil, tarihin en gizemli zehri, bugünün "sinsi kanserojeni" ve moleküler düzeyde bir "enzim katili" olarak resmediyor.
Zehirlerin Kralı ve Metabolik Kaos
Arsenik Toksisitesinde Tanı ve Stratejik Arınma
Bir mizansen; Viktorya dönemi Londra'sında loş bir oda. Duvarda zümrüt yeşili, nemden hafifçe kabarmış duvar kağıtları... Yatakta halsiz yatan, cildinde "yağmur damlası" gibi lekeler olan bir hasta. Doktorlar "tükenmişlik" diyor. Oysa katil duvarda, suda ve pirinçte gizli. Adı: Arsenik.)
Modern tıp, arseniği genellikle eski romanlarda kalan bir zehir sanır. Oysa biyokimyasal ve çevresel gerçekler, arseniğin bugün "Küresel Toksin" olarak aramızda dolaştığını, enzimlerimizi sessizce kilitlediğini ve genetik kodlarımızı (DNA metilasyonu) bozduğunu gösteriyor.
Bu makale, arseniğin "Moleküler Truva Atı" mekanizmasını, tanısal kör noktaları ve Bayesyen mantıkla kurgulanmış kurtuluş protokolünü belgelemektedir.
BÖLÜM 1: Mekanizma - Giriş Kapıları ve "İyonik Mimikri"
Arsenik (As), periyodik tabloda metal ile ametal arasında sıkışmış bir "Bukalemun Element"tir. Vücut onu neden içeri alır? Cevap yine o ölümcül taktik: İyonik Mimikri, yani biyokimyasal kimlik hırsızlığı.
Enzim Sabotajı (Sülfür Aşkı): Arseniğin inorganik formu (Arsenik Trioksit), vücuttaki sülhidril (-SH) gruplarına delicesine aşıktır. Krebs döngüsündeki (enerji üretimi) kritik enzimi (Pirüvat Dehidrogenaz) bulur ve ona bağlanır.
Sonuç: Enerji üretimi durur. Hücre "nefessiz" kalır ve oksidatif stres (paslanma) başlar.
DNA Metilasyon Kökü: Arsenik, vücudun detoks yakıtı olan metil gruplarını (SAMe) tüketir. DNA'yı koruyan "metil kalkanı" düşünce, genler savunmasız kalır. Bu durum, yıllar sonra gelişecek kanserlerin (cilt, akciğer, mesane) sessiz başlangıcıdır.
Fosfat Taklidi (ATP Hırsızlığı): Arsenat formu (+5), moleküler yapısı nedeniyle Fosfat zannedilir. Hücre, ATP (enerji paketi) üretirken fosfat yerine arseniği kullanır. Sonuç? "Boş enerji paketi". Hücre çalışır ama enerji üretemez.
BÖLÜM 2: Maruziyetin Gizli Haritası (Risk Hiyerarşisi)
Arsenik sadece "zehir şişesinde" değildir; sofradadır.
Su ve "Küresel Suikast": Yer altı sularında doğal olarak bulunan inorganik arsenik, en büyük tehdittir. (MTA verilerine göre Kütahya, Emet, Balya ve Doğu Karadeniz riskli kuşaktadır).
Pirinç Paradoksu: Pirinç, suyu seven bir bitkidir ve sudaki arseniği sünger gibi çeker. Özellikle kahverengi pirinçte (kabuğunda biriktiği için) beyaz pirince göre daha fazla arsenik bulunur.
Tavuk ve Yem: Tavuk yemlerinde kullanılan bazı katkı maddeleri, tavuğun dokusunda arsenik birikimine yol açabilir. Fazla tavuk eti yemeyin :) Kırmızı et masu mu? hayır besi hayvanlarının etlerinde bolca hormon var, ya deniz ürünleri ve balık? onlarda da başka bir zehir, civa olabilir.
BÖLÜM 3: Tanısal Yanılgılar ve Bayesyen Dedektiflik (DAD Algoritması)
(Kronik-) Arsenik zehirlenmesinde klinik tablo genellikle siliktir. "Halsizlik" deyip geçerseniz, hastayı kaybedersiniz.
A. Klinik Belirti Spektrumu (Alarm Sinyalleri)
Bayesyen analizde (LR+) atnı koydurucu değeri en yüksek bulgular şunlardır:
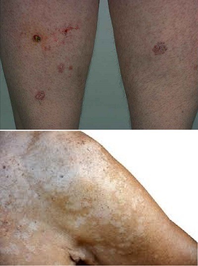
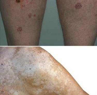
Dermatolojik İmza (Spesifik Kanıt):
Hiperpigmentasyon: Gövdede "Yağmur Damlası" (Raindrop) tarzı lekeler. Sanki kirliymiş gibi görünür ama yıkanınca çıkmaz.
Keratozlar: Avuç içi ve ayak tabanında nasırlaşma (sertleşme). Bu bölgede güneş görmemesine rağmen deri kalınlaşıyorsa, akla ilk arsenik gelmelidir.
Mees Çizgileri: Tırnaklarda enine beyaz çizgiler. Akut maruziyetin tarihini verir.
Sistemik Kaos:
Nefeste "Sarımsak Kokusu" (Arsenik bileşiklerinin tipik kokusu).
Dirençli karın ağrısı ve nöropati (el-ayak uyuşması).
B. Laboratuvar Tuzağı ve Gerçek Testler
Kan Testi (Yanlış Tercih): Arsenik kandan çok hızlı (10 saatte) temizlenir. Kan temiz çıkabilir ama hasta toksiktir.
İdrar Analizi (Doğru Tercih, Ama...):
Kritik Ayrım: İdrardaki toplam arsenik yanıltıcıdır. Deniz ürünü yiyince zararsız "organik arsenik" fırlar.
DAD Kuralı: Test sonucunda "Arsenik Türleşimi" (Speciation) yapılmalı. Yani idrardaki arseniğin ne kadarı inorganik (zehir), ne kadarı organik (balık) ayırt edilmelidir.
Saç ve Tırnak (Adli Belge): Keratin dokusunu sever. Saçtaki birikim, son aylardaki kronik maruziyetin "kara kutusu"dur.
BÖLÜM 4: Stratejik Savunma ve Tedavi Protokolü
Tedavi, bir "temizlik" değil, "metabolik restorasyon-tamir-" sürecidir.
Adım 1: Maruziyeti Kesmek (En Önemli Adım)
İçme suyu analizi yapılmalı, riskli bölgelerde ters ozmos filtre kullanılmalıdır. Pirinç tüketimi azaltılmalı veya arseniği azaltmak için bol suda haşlanıp suyu süzülerek (Parboiling yöntemi) pişirilmelidir.
Adım 2: Metilasyon Desteği (DNA Kalkanı)
Arsenik, metil gruplarını tükettiği için vücut detoks yapamaz.
Destek: Metil-B12, Folat (5-MTHF) ve Betain (TMG) ile metilasyon döngüsü yeniden başlatılmalıdır.
Adım 3: Şelasyon ve Bağlama
Akut Zehirlenme: Hastane şartlarında Dimerkaprol (BAL) veya DMPS kullanılır.
Kronik Detoks (Fonksiyonel Yaklaşım):
Sülfür Zengini Beslenme: Sarımsak, soğan, yumurta. (Sülfür, arseniği bağlar).
Antioksidanlar: Selenyum, E vitamini ve C vitamini. (Oksidatif hasarı frenler).
Alfa Lipoik Asit (ALA): Hem glutatyonu artırır hem de arsenik atılımına destek olur.
ÖZET: Zehirlerin Kralına Karşı Zafer
Bu makale şunu kanıtlıyor: Arsenik sadece bir zehir değil, biyolojik bir enerji hırsızı ve genetik sabotajcıdır.
Klinik Ders (Takeaway):
Avuç içinde açıklanamayan nasırlaşma (keratoz) ve gövdede lekelerle gelen, "sürekli yorgunum" diyen bir hastada; standart testler normalse bile, aklına o eski düşmanı getir: Arsenik.
Tedavi stratejimiz basittir: Kaynağı kes, metilasyonu onar, sülfürle bağla.






İletişim
Bize ulaşmak için aşağıdaki bilgileri kullanın.
Hİzmetler
Tıbbi Sorumluluk Reddi (Disclaimer):
Bu web sitesinde sunulan tüm içerikler yalnızca bilgilendirme amacı taşır. Sunulan bilgiler, profesyonel tıbbi tanı, tedavi ya da tavsiye yerine geçmez. Web sitesinde yer alan sağlık bilgilerinin, tıbbi karar verme sürecinizde tek başına kullanılmaması gerekir. Herhangi bir sağlık sorununuzda, şikâyetinizde ya da tedavi ihtiyacınızda mutlaka bir doktor veya ilgili uzman sağlık profesyoneline danışınız. Bu sitede yer alan bilgilerin kullanımından doğabilecek herhangi bir doğrudan ya da dolaylı zarardan dolayı site sahibi veya yazarlar sorumluluk kabul etmez.
© 2025 İlkiz Açıkalın
