"Bitkisel Kozmetik"
CİVA & Gümüş Görünümlü Ölüm ve Sessiz Buhar
Dr. Aleksi
1/5/20265 min oku


Civa & Gümüş Görünümlü Ölüm ve Sessiz Buhar
DAD Protokolü: Cıva Toksisitesinde Bayesyen Tanı, Moleküler Mimikri ve Stratejik Arınma
İzmir'de bir akşam vakti, Kordon'da balık restoranında keyifli bir yemeki... Veya eski bir atölyede kırılan termometreden sızan gümüşi boncuklar. Cıva, form değiştirerek -buhar, sıvı veya organik- bedene sızar. O an hissedilen metalik tat, yıllar sürecek bir "enzimatik sabotajın" ilk uyarısıdır.)
Modern tıp, cıva zehirlenmesini genellikle akut ve nadir bir olay sanır. Oysa biyokimyasal gerçekler, cıvanın düşük dozlarda bile nörotoksin ve immünosupresan (bağışıklık baskılayıcı) olarak çalıştığını gösterir. Bu makale, ticari broşürlerin sığlığını aşarak, "Moleküler Mimikri", "Akrodini" trajedisi ve stratejik detoks protokollerini belgelemektedir.
BÖLÜM 1: Cıvanın Üç Yüzü ve Giriş Kapıları
Cıva tek bir düşman değildir; üç farklı kılıkta saldırır. Bu ayrım, tanı ve tedavi için hayatidir.
Elemental Cıva (Hg0 - Buhar):
Kaynak: Kırılan termometreler, floresan lambalar, diş hekimliğinde amalgam dolgu işlemleri.
Mekanizma: Akciğerlerden %80 oranında emilir. Yağda çözünür, Kan-Beyin Bariyerini (BBB) kolayca geçer.
Hedef: Doğrudan beyin. "Deli Şapkacı" sendromu (titreme, sinirlilik) bu formun eseridir.
İnorganik Cıva (Hg2+ - Tuzlar):
Kaynak: Piller, bazı dezenfektanlar ve eski tip cilt beyazlatıcı kremler (Kalomel).
Mekanizma: Suda çözünür. Böbrek tübüllerinde birikir.
Trajedi (Akrodini): Bebeklerde diş tozu olarak kullanıldığında "Pembe Hastalık" (ellerin ve ayakların çiğ et gibi kızarması, ızdırap verici ağrı) yaratmıştır. Tirozinaz enzimini inhibe ederek melanin üretimini bozar (depigmentasyon).
Organik Cıva (Metil-Cıva):
Kaynak: Deniz Ürünleri. Özellikle büyük yırtıcı balıklar (Ton balığı, Kılıçbalığı, Köpekbalığı).
Mekanizma: Sindirimden %95 emilir. Biyokümülatiftir (atılmaz, birikir). Plasentayı geçer, anne karnındaki bebeğin beynini tahrip eder.
BÖLÜM 2: Moleküler Sabotaj (Neden Zehirleniyoruz?)
Cıva vücuda girdiğinde sadece yer kaplamaz; sistemin yazılımını bozar.
Sülfhidril (-SH) Aşkı: Cıva, kükürdü çok sever, proteinlerin ve enzimlerin yapısındaki sülfhidril gruplarına "yapışkan" gibi bağlanır.
Sonuç: Enzimin 3 boyutlu yapısı bozulur. Anahtar kilide uymaz. Mitokondriyal enerji üretimi durur.
Selenyum Hırsızlığı: Cıva, vücudun antioksidanı olan Selenyuma (Se) o kadar güçlü bağlanır ki, selenyum tükenir. Beyin oksidatif strese (paslanmaya) karşı savunmasız kalır.
BÖLÜM 3: Tanıda Bayesyen Dedektiflik (DAD Algoritması)
"Kan testi normal" diyip geçmek, en büyük hatadır.
A. Klinik İpuçları (Semptom Kümeleri)
Bayesyen analizde, tek bir semptom zayıftır; ancak şu Triad (Üçlü) varsa, cıva olasılığı (LR+) fırlar:
Nöro-Psikiyatrik Değişim (Eretizm): Açıklanamayan aşırı utangaçlık, sosyal çekilme ve ani öfke patlamaları.
Tremor (Titreme): İnce motor becerilerin kaybı. "Yazısı bozulan hasta."
Ağızda Metalik Tat ve Diş Eti Sorunları: Diş etlerinde mavi-mor çizgiler veya sürekli inflamasyon.
Diğer Belirtiler:
Hamilelik esnasında cıvaya maruz kalma, bebekte ciddi konjenital kusurlara ve düşüklere yol açabilir. Erkeklerin cıvaya maruz kalması libido azalması, sperm yapımında azalma ve kısırlığa neden olmaktadır.
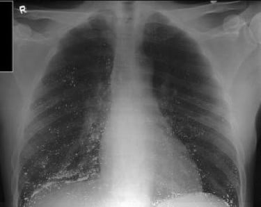
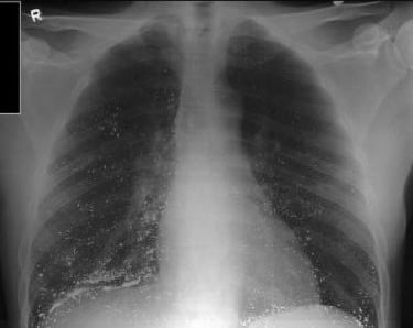
Yüksek düzeylerde cıva maruziyeti sonrası, ölümlerin primer nedeni akciğer hasarıdır (pulmoner ödem).
Cıva tuzları gastrointestinal sistemi etkilemekte ve böbreklerde ciddi renal tübüler hasara yol açmaktadırlar.
Uzun süreli cıvaya maruz kalma böbrek tümör riskini artırmaktadır.
Cıva iyonları tiroit bezinde birikmekte, bu da nodül ve prekanseröz lezyonlara neden olmaktadır.
B. Laboratuvar Stratejisi (Doğru Matris Seçimi)
Kan Testi: Sadece akut (son 3-4 gün) maruziyeti gösterir. Kronik zehirlenmede kan temizdir! (Yalancı Negatif).
İdrar Testi: İnorganik ve Elemental cıva (böbrek yükü) için iyidir. Ancak Metil-Cıva (balık) idrarla atılmaz, gaita ve saçla atılır.
Saç Analizi: Kronik Metil-Cıva (balık kaynaklı) yükünü gösteren en iyi "Kara Kutu"dur.
KRİTİK UYARI: Test vermeden önceki 72 saat boyunca balık yenmemelidir. Aksi halde test sonucu yalancı pozitif çıkar.
BÖLÜM 4: Tedavi ve Stratejik Arınma Protokolü
Tedavi, askeri bir "Rehine Kurtarma Operasyonu" gibidir. Yanlış hamle (yanlış şelasyon), rehineyi (beyni) öldürür.
Adım 1: Kaynağı Kes (Maruziyet Yönetimi)
Büyük balıklar (Kılıç, Ton) menüden çıkarılır. Küçük balıklar (Hamsi, Sardalya) tercih edilir.
Amalgam dolgular sökülecekse, mutlaka SMART Protokolü (yüksek vakum, oksijen desteği, Rubber Dam izolasyonu) uygulayan bir diş hekimi seçilmelidir. Aksi halde söküm sırasında çıkan buhar, hastayı akut zehirler.
Adım 2: Destek ve Mobilizasyon
Drenaj: Bağırsak ve böbrek yolu açılmadan detoks yapılmaz. (Bol su, lif, TUDCA).
Selenyum Kalkanı: Selenyum desteği, cıvayı bağlayarak etkisiz hale getirir.
N-Asetil Sistein (NAC) ve Glutatyon: Vücudun doğal detoks kapasitesini artırır.
Adım 3: Şelasyon (Kimyasal Kıskaç)
DMSA / DMPS: Cıva için spesifik şelatörlerdir. Doktor gözetiminde, düşük dozlarla başlanmalıdır.
Modifiye Turunçgil Pektini (MCP): Güvenli, doğal bir bağlayıcıdır. "Bumerang Etkisi" (redistribution) riski düşüktür.
Uyarı: Kişniş (Cilantro), kan-beyin bariyerini geçer ve cıvayı beyinden söker. Ancak bağırsakta Chlorella gibi bir tutucu yoksa, cıva tekrar emilir. Asla tek başına kullanılmamalıdır!
ÖZET: Biyolojik Belgeselin Sonu
Bu makale şunu kanıtlıyor: Cıva, gümüş renkli bir metalden fazlasıdır; biyolojik yazılımı bozan bir ajandır.
Klinik Ders (Takeaway):
Balık seven, bol balık yiyen, "unutkanım ve ellerim titriyor" diyen, diş etleri sorunlu bir hastada; standart kan tahlili temiz olsa bile şüphelen.
Tanı için saç analizi veya provoke idrar iste.
Tedavide önce koru (antioksidan/selenyum), sonra temizle (şelasyon).
"Kaynağı tanı, kanıtı ölç, olasılığı güncelle, organı koru."








İletişim
Bize ulaşmak için aşağıdaki bilgileri kullanın.
Hİzmetler
Tıbbi Sorumluluk Reddi (Disclaimer):
Bu web sitesinde sunulan tüm içerikler yalnızca bilgilendirme amacı taşır. Sunulan bilgiler, profesyonel tıbbi tanı, tedavi ya da tavsiye yerine geçmez. Web sitesinde yer alan sağlık bilgilerinin, tıbbi karar verme sürecinizde tek başına kullanılmaması gerekir. Herhangi bir sağlık sorununuzda, şikâyetinizde ya da tedavi ihtiyacınızda mutlaka bir doktor veya ilgili uzman sağlık profesyoneline danışınız. Bu sitede yer alan bilgilerin kullanımından doğabilecek herhangi bir doğrudan ya da dolaylı zarardan dolayı site sahibi veya yazarlar sorumluluk kabul etmez.
© 2025 İlkiz Açıkalın
