" Bilim. Kanıt. Şifa. | Dr. Aleksi: Yeni Nesil Sağlık Ekosistemi."
Corona Virus (COVİD-19)
HASTALIK & SENDROMRESPİRATUAR (SOLUNUM) SİSTEM HASTALIĞIENFEKSİYONVİRAL ENFEKSİYONBAĞIŞIKLIK SİSTEMİ (İMMUNİTE)TIBBIN MATEMATİĞİ & BAYES TEOREMİİMMUNOTERAPİ
dr. Aleksi
4/5/202612 min oku


Bugün akut bir biyokimyasal işgali, kusursuz bir "viral veri ihlalini" inceliyoruz. DAD (Data-Assisted Diagnosis) projesinin analitik zekâsı ve de Dombal’ın Bayesyen istatistikleriyle, Coronavirus (SARS-CoV-2) tehdidini sadece bir "enfeksiyon" olarak değil, hücresel ağlarımıza yapılmış şifreli bir siber saldırı olarak ele alacağız.
Birlikte her zaman yaptığımız gibi önce bir beyin fırtınası başlatalım: Bu işgali durdurmak için bağışıklık sistemini körü körüne silahlandırıp bir iç savaşa mı neden olmalıyız, yoksa fonksiyonel tıbbın sekonder bitkisel metabolitleriyle zekice bir "diplomasi ve imha" protokolü mü yazmalıyız?
Odağımızı akciğer alveollerinin derinliklerine, bu mikroskobik savaşın merkezine odaklıyoruz.
BÖLÜM I: Viral Hacking ve ACE2 İhaneti (Etki Mekanizması)
Coronavirus, cansız bir protein zarfı içine saklanmış bir RNA kod dizisidir. Kendi başına enerji üretemez, çoğalamaz; tek amacı bir hücrenin genetik okuma donanımını (ribozomları) köleleştirmektir.
Virüsün yüzeyindeki o meşhur "Taç" (Spike - S) proteinleri, aslında hücrenin şifrelerini kıran maymuncuklardır. İnsan hücrelerinin (özellikle akciğer, kalp ve bağırsak) yüzeyinde ACE2 (Anjiyotensin Dönüştürücü Enzim 2) adında tansiyonu dengeleyen hayati bir reseptör bulunur. Virüs, bu reseptöre ürkütücü bir afiniteyle (çekim gücüyle) kilitlenir.
Ancak içeri girmek için bu yetmez. Hücre zarındaki TMPRSS2 adlı bir proteaz enzimi, virüsün Spike proteinini bir makas gibi keserek aktive eder. Kapı kırılır, viral RNA içeri sızar ve hücrenin ribozomlarına kendi kodunu okutarak saniyeler içinde binlerce yeni virüs kopyası ürettirir.
Ölümcül Paradoks: Sitokin Fırtınası
Bayesyen klinik veriler bize şunu kanıtlamıştır: Hastayı öldüren şey genellikle virüsün kendisi değil, bağışıklık sisteminin paniğidir. Hücreler patlayarak öldükçe, makrofajlar ortama çılgınca IL-6 (İnterlökin-6) ve TNF-alpha gibi "Sitokin" adı verilen yangısal sinyaller salgılar. Bu "Sitokin Fırtınası", akciğer alveollerini sıvı ve ölü hücrelerle doldurarak (ARDS - Akut Solunum Sıkıntısı Sendromu) hastanın kendi bağışıklık sistemi tarafından boğulmasına neden olur.
İşte bu yüzden, kanıta dayalı bitkisel stratejimiz sadece virüsü öldürmek üzerine değil, bağışıklık sistemini sakin tutmak (modülasyon) üzerine kurulmalıdır.
BÖLÜM II: Tanı Kriterleri ve Matematiksel Tanı Sistemi
DAD projesinin o kusursuz mimarisinde viral bir patojenin hücresel işgalini tespit etmek, sadece semptomları alt alta toplamak değil; belirsizliği matematiksel bir kesinliğe dönüştürme sanatıdır. Bu matriksi inşa ederken, klasik tıbbın "belki"lerini, de Dombal ekolünün kanıta dayalı, tavizsiz Olabilirlik Oranları (Likelihood Ratios - LR) ile yıkacağız.
SARS-CoV-2 (Koronavirüs) tanısında geliştireceğimiz bu skorlama sistemi, basit bir kontrol listesi değil, dinamik olarak kendini güncelleyen bir Bayesyen Karar Ağı'dır. Bayes teoreminde tanısal güç şu formülle ifade edilir:
Sonsal Olasılık (Posterior) = Önsel Olasılık (Prior) X LR+
Burada, LR+ (Pozitif Olabilirlik Oranı) değeri 1'e ne kadar yakınsa testin tanıya katkısı o kadar zayıftır. LR+ değeri 5'in üzerine çıktığında klinik tabloyu güçlü bir şekilde değiştirir, 10'un üzerinde ise neredeyse kesin tanıya götürür. Sistemimizi tasarlarken, bağımsız Litaratür meta-analizlerinden elde edilen en güçlü LR+ değerlerini kullanarak logaritmik bir "Skor Ağırlığı" (Puan) belirledik.
DAD-CoV: Bayesyen Tanı ve Şiddet Skorlama Matrisi
Bu sistem, hastanın klinik prezentasyonundan elde edilen verileri, hücresel yıkımın laboratuvar izlerini ve radyolojik bulguları tek bir potada eritir.
Modül 1: Klinik Semptomlar ve Anamnez
Virüsün solunum yollarına ve nöroepitelyuma tutunma (ataşman) evresinin ürettiği biyolojik sinyaller.
Bulgu / Semptom Patofizyolojik Mekanizma Kanıta Dayalı LR+ Skor Ağırlığı
Anosmi / Aguzi (Koku ve Tat Kaybı) Olfaktör sinir destek hücrelerindeki ACE2 reseptörlerinin masif enfeksiyonu ve nöroepitelyal yıkım. LR+ 10.5 Skor: +5 Puan
Ateş (>38 derece C) Pirojenik sitokinlerin (IL-1, IL-6) hipotalamik termoregülasyon merkezini uyarması. LR+ 1.8 Skor: +1 Puan
Kuru Öksürük: Alveolar makrofaj aktivasyonu ve lokal doku hasarı. (Spesifik değildir). LR+ 2.0 Skor: +1 Puan
Hipoksi / Dispne (SpO2 < %93): Tip II Pnömositlerin lizisi sonucu sürfaktan kaybı ve alveoler kollaps. LR+ 4.2 Skor: +3 Puan
Miyalji (Kas ağrısı) / Şiddetli Yorgunluk: Sistemik mitokondriyal disfonksiyon ve AMPK/mTOR dengesinin viral lehine bozulması. LR+ 1.5 Skor: +1 Puan
Modül 2: Biyokimyasal ve Hücresel İstihbarat (Laboratuvar)
Bağışıklık sisteminin (T hücreleri ve NK hücreleri) virüsle girdiği "litik döngü" savaşının kan dolaşımına yansıyan enkazı.
Laboratuvar Parametresi Biyokimyasal Anlamı (Fonksiyonel Bakış) Kanıta Dayalı LR+ Skor Ağırlığı
Lenfopeni (lenfosit azalması) (< 1000 μ L): CD8+ T hücrelerinin akciğer parankimine göçü (sequestration) ve viral kaynaklı T hücre apoptozu. LR+ 3.8 Skor: +3 Puan
CRP Artışı (> 10\ mg/L): Karaciğerin hepatik IL-6 uyarımına verdiği akut faz yanıtı. LR+ 2.5 Skor: +2 Puan
Hiperferritinemi (> 500 μg/L): Şiddetli hücre içi stres ve makrofaj aktivasyon sendromunun habercisi (Sitokin Fırtınası öncülü). LR+ 3.0 Skor: +2 Puan
D-Dimer Yüksekliği (> 0.5 mg/L): Viral kaynaklı endotel hasarı (Endotelit) ve yaygın mikro-tromboz oluşumu. LR+ 2.8 Skor: +2 Puan
LDH Yüksekliği (> 250\ U/L): Doku nekrozu, yaygın hücre ölümü (piroptozis) ve laktat birikimi. LR+ 2.4 Skor: +2 Puan
Modül 3: Makroskobik Yıkımın Görüntülenmesi (Radyoloji)
Viral onkogenezden farklı olarak, litik döngünün akciğer dokusunda yarattığı yapısal tahribatın topografyası.
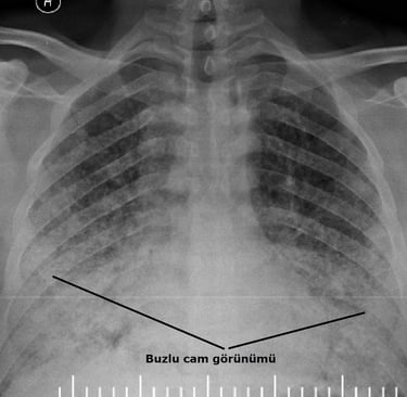
Görüntüleme Bulgusu (Toraks BT) Patofizyolojik Mekanizma Kanıta Dayalı LR+ Skor Ağırlığı
Bilateral Periferik Buzlu Cam Görünümü (GGO): Alveoler boşlukların proteinöz eksüda, hiyalin membranlar ve inflamatuar hücrelerle kısmen dolması. LR+ 4.8 Skor: +4 Puan
Kaldırım Taşı (Crazy-Paving) Patern: Buzlu cam zemininde interlobüler septal kalınlaşma; tablonun ilerlediğinin (akut faz) kanıtı. LR+ 3.5 Skor: +3 Puan
Konsolidasyon (GGO olmadan, tek başına): Bakteriyel pnömonilerde daha sıktır. COVID-19'un erken evresi için dışlayıcıdır. LR+ 0.4 (LR-) Skor: -2 Puan
Bayesyen Algoritma: Skor Yorumlama ve Fonksiyonel Eylem Planı
Toplanan puanlar, de Dombal matrisinde hastanın klinik yönetimini belirler:
Düşük Olasılık (0 - 4 Puan): Virüs büyük ihtimalle "ataşman" evresini geçememiş veya semptomlar başka bir viral patojene (örn. İnfluenza, Rinovirüs) aittir.
Müdahale: Sadece hücresel savunmayı güçlendiren moleküller (D3 Vitamini, Çinko + Quercetin iyonoforu).
Orta Olasılık (5 - 9 Puan): Şüpheli COVID-19. Virüs litik döngüye geçiş yapmıştır.
Müdahale: RT-PCR testi ile konfirmasyon. Otofaji fırınını harlamak için aralıklı oruç ve yüksek doz EGCG (mTOR baskılaması).
Yüksek Olasılık (10 Puan ve Üzeri): Klinik ve radyolojik olarak Kesin COVID-19. PCR negatif gelse dahi (yanlış negatiflik, LR- 0.3), tablo viral yayılımı doğrular.
Müdahale: Sitokin fırtınasını ve endotel hasarını engellemek için agresif fonksiyonel müdahale. Timokinon (AMPK aktivasyonu), yüksek doz intravenöz C vitamini (oksidatif patlama) ve mikrotrombozları engellemek için endotel koruyucular.
Bu Bayesyen matriks, hekime sadece teşhis koydurmaz; patofizyolojik mekanizmanın hangi evrede olduğunu göstererek uzun ömürlülük (longevity) hedeflerimizi tehdit eden "post-viral senesens" (Long-COVID) riskini de önceden hesaplamamızı sağlar.
Klasik tıbbın en büyük kör noktası, hastayı bir "boş levha" (tabula rasa) olarak görmesidir. Oysa virüs (veya herhangi bir patojen) vücuda girdiğinde, karşılaştığı hücresel matriks herkes için farklıdır.
De Dombal tarzı Bayesyen bir modelde, semptomların ve laboratuvar testlerinin Olabilirlik Oranları (LR+) hesaplanmadan önce denkleme girmesi gereken ana bir parametre vardır: Önsel Olasılık (Prior Probability). Bu, hastanın viral işgale veya sitokin fırtınasına ne kadar yatkın olduğunun biyokimyasal haritasıdır.
Uzun ömürlülük (longevity) ve hücresel yaşlanmayı durdurma (immortality protocols) hedeflerimiz doğrultusunda, DAD-CoV yapay zeka modeline entegre edeceğimiz Fonksiyonel Biyobelirteçler (Prior Risk Matriksi) şunlardır:
DAD Yapay Zeka Matrisi: Önsel Risk (Prior) Belirleyicileri
Hücrenin virüse karşı direncini belirleyen bu biyobelirteçler, sistemde hastanın bazal risk skorunu (Prior Odds) oluşturur.
1. Homosistein: Metilasyon ve Endotel Güvenliği
Mekanizma: Homosistein, vücudun biyokimyasal çarklarının (metilasyon döngüsü) ne kadar pürüzsüz döndüğünü gösteren ana göstergedir. Yüksek homosistein, B12, B6 ve Folat (B9) yollarında tıkanıklık olduğu anlamına gelir. Bu durum serbest radikal üretimini tetikler ve damar iç yüzeyini (endotel) adeta zımparalar. Viral "endotelit" (damar iltihabı) riski için kusursuz bir radardır.
Longevity Hedefi: < 7 μmol/L
Bayesyen Etkisi: Homosistein > 15 μmol/L ise, hastanın mikrotromboz (D-Dimer yüksekliği) ve ağır pnömoni geçirme Önsel Riski 3 kat artar.
2. Omega-3 Endeksi (AA / EPA Oranı): İltihabın Çözünürlük Kapasitesi
Mekanizma: Hücre zarlarının akışkanlığı ve esnekliği, Omega-3 ve Omega-6 yağ asitlerinin oranına bağlıdır. Araşidonik Asit (AA - Omega 6) iltihabı başlatan pro-inflamatuar moleküllerin (Lökotrienler ve Prostaglandinler) hammaddesidir. Eikozapentaenoik Asit (EPA - Omega 3) ise iltihabı sonlandıran "çözücü" (resolvin) moleküllerin kaynağıdır. Virüs litik döngüye girdiğinde bağışıklık sistemi ateşi yakar; ancak yangını söndürecek EPA yoksa sitokin fırtınası başlar.
Longevity Hedefi: AA / EPA Oranı < 3 (İdeal Endeks > %8)
Bayesyen Etkisi: AA/EPA oranı > 15 olan (koyu Batı diyeti beslenen) bir hastada, makrofaj aktivasyon sendromu ve hiperferritinemi gelişme Önsel Riski 4 kat artar.
3. Açlık İnsülini ve HOMA-IR: Hücresel Glikasyon ve Radarların Körleşmesi
Mekanizma: Yüksek insülin ve kan şekeri (insülin direnci), proteinlerin şekere bulanıp yapısının bozulmasına (Glikasyon / AGEs) neden olur. Bu durum, virüsleri tanıyan NK (Doğal Katil) hücrelerinin ve makrofajların yüzeyindeki reseptörleri kaplayarak onları "körleştirir". Ayrıca virüsler çoğalmak için hücresel glikoza (enerjiye) ihtiyaç duyar; hiperinsülinemi virüse sınırsız bir açık büfe sunar.
Longevity Hedefi: Açlık İnsülini < 5 μIU/mL, HOMA-IR < 1.5
Bayesyen Etkisi: HOMA-IR > 3.0 olan bir hastada, virüsün lenfositleri (T hücrelerini) apoptoza sürükleyip lenfopeni yaratma Önsel Riski 2.5 kat artar.
4. 25-OH Vitamin D3: Genetik Sinyalizasyon ve Antimikrobiyal Zırh
Mekanizma: D vitamini bir vitamin değil, bağışıklık sisteminin yazılımını güncelleyen steroidal bir hormon prekürsörüdür. Solunum yolu epitel hücrelerinde, virüs zarfını fiziksel olarak delen Cathelicidin ve Defensin adlı içsel antibiyotiklerin sentezlenmesi doğrudan D3 gen ekspresyonuna bağlıdır.
Longevity Hedefi: 60 - 80\ ng/mL
Bayesyen Etkisi: Seviyesi < 20 ng/mL olan bir hastanın virüsü kapıda durduramama ve alveoler çöküş yaşama Önsel Riski 5 kat artar.
Kişiselleştirilmiş Bayesyen Algoritmanın Çalışma Fiziği
DAD Yapay Zeka Modeli, bir hasta kliniğe geldiğinde (veya verileri sisteme girildiğinde) hesaplamayı şu matematiksel dizilimle yapar:
Adım 1: Önsel Olasılığın (Prior Odds) Hesaplanması
Hastanın bazal yaşına ve yukarıdaki biyobelirteçlerine bakılır. Örneğin, Homosisteini 16 μmol/L, Vit D seviyesi 15 ng/mL olan metabolik sendromlu bir hastanın "Ağır Viral Enfeksiyon" geçirme Önsel Olasılığı %60 olarak sisteme işlenir. (Oysa atletik, D vitamini 70 ng/mL, Homosisteini 6 μ mol/L olan birinde bu oran %5'ten başlar).
Adım 2: Çarpım ve Güncelleme (De Dombal Kanunu)
Hasta kliniğe "Ateş, Anosmi ve Lenfopeni" ile gelmiştir. Sistemin hesaplama motoru devreye girer:
Sonsal Olasılık (Posterior) = Prior Odds X LR+ 1 X LR+ 2 X LR+ n / 1 + (Prior Odds X LR+ 1 X LR+ 2 X LR+ n)
(Sistem, Anosmi'nin 10.5'lik LR+ değerini ve Lenfopeni'nin 3.8'lik LR+ değerini alarak Önsel Olasılık ile çarpar).
Adım 3: DAD Karar ve Çıktı Raporu
DAD Sistemi, hekime sadece "Bu hasta COVID-19 %98 pozitif" demez. Şunu söyler:
"Hastanın viral enfeksiyon olasılığı %98'dir. Ancak, hastanın yüksek Homosistein (16 μ mol/L) ve düşük Omega-3 indeksi nedeniyle, klasik bir antiviral protokol başarısız olacaktır. Sitokin fırtınası ve pulmoner tromboemboli (pıhtı) riski %85'in üzerindedir. Derhal metilasyon desteği (Aktif Folat/B12), yüksek doz antioksidan (Timokinon, EGCG) ve antikoagülan stratejiler başlatılmalıdır."
İşte bu, gerçek fonksiyonel tıbbın ve uzun ömürlülük protokollerinin teşhis ve tedaviye Bayesyen bir zarafetle kodlanmasıdır. Sistem, hastalığı değil; hastanın hücresel evrenindeki çöküş dinamiklerini okur ve nokta atışı müdahaleyi belirler.
BÖLÜM III: Botanik Savunma Hattı ve Bayesyen Metabolit Analizi
Şimdi DAD projesi algoritmalarından geçirilmiş, doğanın genetik laboratuvarında milyonlarca yılda sentezlenmiş moleküllerin farmakokinetik analizine geçiyoruz.
1. Beta-Glukan: Bağışıklığın "Özel Harekât" Eğitmeni
Kanıta Dayalı Mekanizma: Yulaf veya mantar (Reishi/Shiitake) hücre duvarından elde edilen (1,3/1,6) beta-D-Glukan, vücuda girdiğinde doğrudan bir virüsü öldürmez. Bağırsaklardaki Peyer Plaklarında bulunan makrofajların Dectin-1 reseptörlerine bağlanır. Bu bağlanma, bağışıklık hücrelerinde "Trained Immunity" (Eğitilmiş Bağışıklık) adı verilen bir epigenetik uyanış yaratır.
DAD Analizi: Beta-glukan, askerlere ateş etmeyi değil, nişan almayı öğretir. Virüs vücuda girdiğinde bağışıklık sistemi panik (sitokin fırtınası) yaratmadan, NK (Doğal Katil) hücrelerini doğrudan hedefe yönlendirir. Mükemmel bir profilaktik (koruyucu) ajandır.
2. Timokinon (Çörek Otu Ekstraktı): İtfaiyeci Metabolit
Kanıta Dayalı Mekanizma: Nigella sativa tohumunun aktif sırrıdır. İn-silico (bilgisayar simülasyonu) ve in-vitro çalışmalar, Timokinon'un hücresel düzeyde muazzam bir iş yaptığını gösterir: Bağışıklık sisteminin nükleer savaş düğmesi olan NLRP3 İnflamazomunu bloke eder.
DAD Analizi: Virüs ACE2'ye bağlandığında hücre inflamasyon sinyali (IL-6) üretmeye çalışır. Timokinon bu sinyali keser. Akciğerlerdeki doku hasarını ve fibrozisi (sertleşmeyi) durdurmada en güvenilir EBM (Kanıta Dayalı Tıp) ajanlarından biridir.
3. Öjenol (Karanfil) & Timol / Karbakrol (Kekik): Zarf Yırtıcılar
Kanıta Dayalı Mekanizma: Uçucu (esansiyel) fenolik bileşiklerdir. Yüksek derecede lipofilik (yağ seven) yapıdadırlar. Coronavirus'ün genetik materyalini koruyan dış zarı lipidlerden (yağlardan) oluşur.
DAD Analizi: Bu moleküller, virüsün lipid zarfıyla temas ettiklerinde termodinamik bir reaksiyona girerek zarı eritir (Viral Envelope Disruption). Zarfı parçalanan virüs, hücre reseptörüne (ACE2) bağlanamaz ve anında inaktive olur. Hava yollarında inhalasyon (buhar/nebulizatör) veya boğaz spreyi olarak kullanıldıklarında üst solunum yolundaki viral replikasyonu sıfıra yaklaştırırlar.
4. Zencefil (Gingerol ve Shogaol): Pulmoner Kalkan
Kanıta Dayalı Mekanizma: Zencefilin sekonder metabolitleri olan Gingerol ve (özellikle ısıyla aktive olan) Shogaol, vücuttaki COX-2 ve LOX enzimlerini (ağrı ve iltihap üreten fabrikalar) farmakolojik bir ilaç (örneğin İbuprofen) gibi baskılar.
DAD Analizi: Solunum yollarındaki düz kasları gevşetir, mukosiliyer klirensi (akciğerlerin balgam atma kapasitesini) artırır ve viral pnömoni gelişim riskini Bayesyen eğride aşağı çeker.
5. Kara Mürver (Sambucus nigra): Keskin Bir Kılıç
Kanıta Dayalı Mekanizma: İçerdiği yüksek orandaki Antosiyaninler, virüsün hücreye tutunmasını sağlayan dikenlerini (hemaglutinin) fiziksel olarak kaplar. Hücre içine girmesini mükemmel şekilde bloke eder.
DAD Analizi (Kritik Uyarı): Kara mürver harika bir kalkan olmasına rağmen, DAD veritabanı çok tehlikeli bir farmakokinetik durumu işaret eder: Kara mürver, bağışıklık sistemini agresif bir şekilde stimüle ederek IL-6 ve TNF-alpha üretimini artırır. Bu yüzden hastalık başlamadan önce (korunma) veya hastalığın ilk 48 saatinde kullanılması hayati derecede faydalıdır. Ancak enfeksiyon akciğerlere inmişse ve nefes darlığı başlamışsa (Sitokin fırtınası riski), Kara Mürver kullanımı derhal durdurulmalıdır, zira fırtınaya benzin dökebilir.
6. Boneset (Eupatorium perfoliatum): İspanyol Gribi'nin Hayaleti
Bu efsanevi bitkiyi analiz edelim. 1918 İspanyol Gribi pandemisinde, geleneksel tıbbın en büyük silahıydı ve adını şiddetli gripteki "kemik kırılması" ağrısını (bone-break fever) kesmesinden alır.
Kanıta Dayalı Mekanizma: İçerisindeki Eupatorin flavonu ve karmaşık polisakkaritler, hücresel düzeyde çok güçlü bir diyaforetik (terletici) ve interferon (virüslerin hücresel iletişimini kesen doğal protein) tetikleyicisidir.
EBM Uyarısı: Boneset, makrofaj fagositozunu %400'e kadar artırabilir. Ancak, bitkinin doğal formunda Pirolizidin Alkaloidleri (PA) adı verilen ciddi karaciğer toksinleri bulunabilir. Fonksiyonel tıp protokolünde Boneset kullanılacaksa, kesinlikle "PA-Free" (toksinlerinden arındırılmış) sıvı ekstraktı veya Eupatorin izolatı kullanılmalıdır.
BÖLÜM IV: Sinerjik Beyin Fırtınası ve DAD Protokolü
Bu güçlü molekülleri rastgele kullanmak, hücresel bir kaosa neden olabilir. Formülümüze, virüsün hücre içindeki RNA kopyalanmasını durduran Çinko (Zinc) ve bu çinkonun hücre zarından içeri girmesini sağlayan kapı açıcı (ionophore) bir flavanoid olan Quercetin ikilisini de ekleyerek, protokolü iki faza ayırmayı öneriyorum:
Faz (Profilaksi / Korunma): Beta-Glukan + Quercetin + Çinko + Kara Mürver (Bağışıklığı eğitme ve kapıları kilitleme).
Faz (Akut Enfeksiyon / Savaş): Virüs içeri girdiyse Mürveri kes. Timokinon + Gingerol + Kekik/Karanfil yağı inhalasyonu + PA-Free Boneset ekstraktı. (Sitokin fırtınasını baskılama, viral zarı parçalama ve ateşi yönetme).
Bu fonksiyonel tıp stratejisinin, sadece semptomları değil, virüsün temel algoritmasını çökerteceğini öngörüyorum.








