"Bitkisel Kozmetik"
Hepatik steatoz (Karaciğer yağlanması)
Dr. Aleksi
10/23/202510 min oku


KARACİĞER YAĞLANMASI:
1. Karaciğer yağlanması nedir?
Karaciğer, vücudun kimya laboratuvarıdır. Yağ, karbonhidrat ve proteinlerin metabolizmasından, toksinlerin temizlenmesine kadar yüzlerce hayati görevi yürütür.
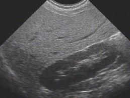
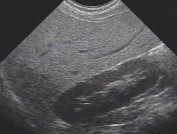
Karaciğer yağlanması (hepatik steatoz), karaciğer hücrelerinde (hepatositlerde) normalin üzerinde yağ birikmesi durumudur. Bu birikim %5’in üzerine çıktığında “yağlı karaciğer” olarak tanımlanır.
Yağlanma iki temel biçimde görülür:
Alkolik karaciğer yağlanması (alkole bağlı)
Non-alkolik yağlı karaciğer hastalığı (NAFLD) — modern yaşamın bir yansıması olan, yanlış beslenme ve metabolik dengesizliklerle gelişen tiptir.
2. Belirtileri nelerdir?
Hastalığın sinsi yönü, çoğunlukla belirti vermemesidir. Ancak ilerleyen evrelerde şu bulgular ortaya çıkabilir:
Sağ üst karında dolgunluk, baskı hissi
Halsizlik, yorgunluk
Sindirim problemleri, iştah azlığı
Ciltte sararma (ileri evrelerde)
Karaciğer enzimlerinde (ALT, AST) artış
3. Nedenleri ve risk faktörleri
Non-alkolik karaciğer yağlanmasının (NAFLD) arkasında metabolik sendromun bileşenleri yer alır:
İnsülin direnci
Obezite (özellikle abdominal tip)
Yüksek trigliserid ve düşük HDL
Hipertansiyon
Fruktoz ve işlenmiş gıda tüketimi
Sedanter (hareketsiz) yaşam tarzı
Ayrıca bazı ilaçlar (kortikosteroidler, amiodaron, metotreksat) ve bağırsak mikrobiyotasındaki bozulmalar da (disbiyozis) tabloyu kötüleştirebilir.
4. İlişkili hastalıklar
Karaciğer yağlanması yalnızca karaciğeri ilgilendiren bir durum değildir; tüm metabolik ağı etkileyen sistemik bir bozukluktur.
Zamanla şu hastalıklarla ilişkilendirilebilir:
Tip 2 diyabet
Kardiyovasküler hastalıklar
Polikistik over sendromu
Uyku apnesi
Barsak geçirgenliğinin artışı (leaky gut)
Kronik inflamasyon ve erken yaşlanma
5. Doğal ve tamamlayıcı tıp yaklaşımları
Modern tıpta tedavinin temelini yaşam tarzı değişiklikleri oluşturur: dengeli beslenme, kilo kaybı, düzenli egzersiz.
Tamamlayıcı tıp ise bu süreci hücre düzeyinde onarıcı ve antiinflamatuar mekanizmalarla destekler.
a. Bitkisel bileşenler ve etki mekanizmaları
Bitkisel Bileşen - Etki Mekanizması - Bilimsel Açıklama
Silybum marianum (Devedikeni, Silymarin)
Antioksidan, antifibrotik
Silymarin, karaciğer hücre zarını stabilize eder, glutatyon düzeyini artırır ve serbest radikalleri nötralize eder.
Curcuma longa (Zerdeçal, Kurkumin)
NF-κB inhibisyonu, yağ sentezini azaltır
Kurkumin, karaciğerdeki inflamatuar sitokinleri (TNF-α, IL-6) baskılar; yağ asidi oksidasyonunu artırır.
Glycyrrhiza glabra (Meyan kökü – deglycyrrhizinated form)
Kortizol metabolizmasını düzenler
Glutatyon üretimini destekler, safra akışını artırır; aşırı glisirhizin içeren formlar uzun vadede hipertansiyon riski taşıyabilir.
Berberis aristata (Berberin)
AMPK aktivasyonu, glukoz ve lipid metabolizması düzenleme
Metformin benzeri etkiyle yağ sentezini azaltır, insülin duyarlılığını artırır.
Camellia sinensis (Yeşil çay kateşinleri)
Antioksidan, lipit metabolizması düzenleyici
EGCG, karaciğerde yağ birikimini azaltır; karaciğer enzimlerini normalize eder.
Artichoke (Enginar ekstresi)
Safra üretimi ve akışını artırır
Cynarin içeriğiyle yağ sindirimini kolaylaştırır, karaciğer detoksifikasyonunu destekler.
Phyllanthus niruri (Chanca piedra)
Antiviral, hepatoprotektif
Hepatit kaynaklı inflamasyonlarda karaciğer enzimlerini düşürür, taş oluşumunu azaltır.
b. Destekleyici metabolitler ve mikronutrientler
N-acetil sistein (NAC): Glutatyon öncüsüdür; karaciğer hücrelerini toksinlerden korur.
Alfa-lipoik asit (ALA): Mitokondriyal enerji metabolizmasını güçlendirir, yağ asidi oksidasyonunu artırır.
Omega-3 yağ asitleri (EPA/DHA): Trigliserid sentezini azaltır, inflamasyonu baskılar.
Spermidin: Otofajiyi uyararak karaciğer hücrelerinde yağ birikimini azaltır.
Kolin ve inositol: Yağların karaciğerden taşınmasını kolaylaştırır (“lipotropik faktörler”).
6. Tedavide yaşam tarzının rolü
Bitkisel, liften zengin Akdeniz tipi diyet
Şekerli içeceklerden ve fruktozdan uzak durma
Günde 30 dakika yürüyüş veya egzersiz
Bağırsak mikrobiyotasını destekleyen fermente gıdalar (kefir, probiyotikler)
Alkol ve gereksiz ilaçlardan kaçınma
1) TCM (Geleneksel Çin Tıbbı) — Karaciğerin tanımı, sınıflaması ve steatozla ilişkisi
Temel fikir: TCM’de “karaciğer” (Gan) yalnızca anatomik organ değil, Qi akışını düzenleyen, kanı depolayan, duygu ve planlamayla bağlı bir işlevsel sistemdir. Karaciğerin temel işlevleri arasında Qi’nin serbest akışı (dredging /疏肝理氣), kan depolama (藏血) ve duygu düzenlemesi yer alır. Karaciğer Qi’sinin düzgün akmaması Liver Qi Stagnation paterni oluşturur; uzun vadede bu durum yang (ısı), kan stazı, karaciğer yin zayıflığı veya “damp-heat” (nem-ısı) gibi daha ağır patolojilere ilerleyebilir. Bu TCM paternlerinden bazıları karaciğer fonksiyonunun bozulmasıyla (modern anlamda yağlanma, inflamasyon, fibrozis) paralellik gösterir. PMC+1
Karaciğerle ilgili sık kullanılan TCM paternleri (NAFLD’ye eşleştirilebilir):
Liver Qi Stagnation (Qi akışında tıkanma) — duygusal baskı, dalgalı semptomlar. PMC
Damp-Heat in Liver/Gallbladder (Karaciğer–Safra kesesinde nem-ısı birikimi) — inflamasyon, yağlılık, enzim yükselmeleri ve sindirim bozukluğu semptomları ile örtüşebilir. kanherb.com
Liver Blood or Yin Deficiency — kronik yıpranma, ilerleyen hasar, gece terlemeleri, uykusuzluk. PMC
Karaciğer–Safra kesesi birlikteliği: TCM’de karaciğer “Wood” (Ağaç) elementiyle; safra kesesi ise karaciğerle birlikte çalışır. Karaciğer Qi’sinin dolaşımı bozulursa safra akışı, karar verme/cesaret (gallbladder’ın psikolojik fonksiyonu) ve sindirim etkilenir. Bu yüzden TCM’de “karaciğer–safra” ikilisi sıklıkla birlikte değerlendirilir. The Wellness Principle+1
2) Ayurveda — Karaciğer (Yakrit), steatoz ve dosha yorumu
Temel fikir: Klasik Ayurveda’da modern “NAFLD” direkt tanımlı değildir; ancak karaciğer patolojileri genelde Yakrit Vikara / Medoroga kapsamına girer. Patolojinin kökeni çoğunlukla Agni (digestive/metabolic fire) bozukluğu, Medo dhatu (yağ dokusu) bozulması ve dosha dengesizlikleri (özellikle Kapha ve Pitta) olarak görülür. Kapha artışı (aşırı ağır, soğuk, yapışkan nitelik) lipid birikimine yatkınlığı açıklar; Pitta dengesizliği inflamasyon/yanma-durumlarıyla ilişkilidir. Bu yüzden Ayurvedik yaklaşımlar NAFLD’yi “agni dushti + kapha/medo bozulması” çerçevesiyle yorumlar. Tijer+1
Pratik not: Ayurvedik tedavi: shodhana (detoksifikasyon—ör. panchakarma), deepana-pachana (agni’yi güçlendirme), yakrit-uttejaka (karaciğer uyarıcı bitkiler), rasayana (yenileyici kürler), yaşam tarzı/diyet düzenlemeleri. Vaka-raporları ve küçük çalışma verileri, bazı geleneksel protokollerin NAFLD parametrelerini iyileştirebildiğini gösteriyor — ancak büyük randomize çalışmalar sınırlı. PMC+1
3) Duygu–organ ilişkisi: Karaciğer, ruhsal durum ve psikolojik denge
TCM perspektifi: Karaciğer ile “öfke, hiddet, tahriş ve baskılanmış duygu” doğrudan ilişkilidir. Sürekli bastırılmış öfke veya kronik duygusal baskı Liver Qi Stagnation yaratır; bunun fiziksel izdüşümleri sindirim bozukluğu, baş ağrısı, göğüste dolgunluk, menstruel düzensizlik ve metabolik bozukluklar olabilir. Bu çerçevede duygusal dengeyi sağlamak (serbest ifade, stres yönetimi, akupunktur/enerji çalışmaları) karaciğerin Qi akışını düzeltmeye yardımcı olur. Verywell Mind+1
Ayurveda perspektifi: Psikolojik durum Agni’yi etkiler; kronik mutsuzluk, tembellik veya duygusal baskılanma Kapha’yı artırıp sindirim/gaz/yağ metabolizmasını bozarak yağ birikimini teşvik edebilir. Bu yüzden zihin-beden uygulamaları (yoga, pranayama, meditasyon) Agni’yi güçlendirir ve metabolik dengeyi destekler. Tijer
Fonksiyonel tıp uyumu (batı ile köprü): Modern psikoneuroendokrinoloji de duyguların HPA aksı, insülin direnci, inflamasyon (CRP, IL-6, TNF-α) ve metabolik bozukluklar üzerinde etkili olduğunu gösteriyor. Yani TCM/Ayurveda’nın “duygu→organ” tasviri, batı biliminde stres→inflamasyon→insülin direnci→NAFLD hattıyla paralellik kurar. (Bu bağlantıyı destekleyen literatür geniştir; TCM/Ayurveda yorumları ile mekanistik biyomedikal hatlar uyumlu). PMC+1
4) 5 Element (Wood/Fire/Earth/Metal/Water) & organ etkileşimleri — karaciğer merkezli bakış
Wood (Ağaç) — Karaciğer / Safra Kesesi: Karaciğer Qi’nin serbest akışı, duygusal düzenleme, kas tonusu, menstruasyon ve planlama ile ilişkilidir. Safra kesesi ise karar verme, cesaret ve safra akışıyla bağlantılıdır. Wood’un denge bozulduğunda (aşırı öfke ya da baskılanmış duygu), liver qi stagnation ve damp-heat oluşabilir; bu da sindirim/safra bozukluğuna yol açar. yourhealthandlongevity.com+1
Fire (Ateş) — Kalp / Perikard / İnce Bağırsak: Fire element kalp (shen/ruh), perikard ve ince bağırsakla ilişkilidir. TCM’de organlar birbirini üretir ve kontrol eder (sheng/ke döngüleri). Wood → Fire ilişkisi: sağlıklı karaciğer (Wood) ateşi besler; dolayısıyla karaciğer/safra dengesi iyi olduğunda kalbin psikolojik ve sistemik işlevleri (uyku, ruh hali, dolaşım) olumlu etkilenir. Öte yandan Wood aşırıysa (ör. karaciğer yang yükselmesi) ateşi tetikleyip kalpte huzursuzluk, uykusuzluk, palpitasyon yaratabilir. Healthline
Earth (Toprak) — Mide/Dalak/Pankreas: Earth sindirim ve besinlerin dönüştürülmesi (agni) ile ilgili. Karaciğer patolojileri (özellikle yağ/metabolik sorunlar) sindirim fonksiyonunu bozar; örneğin karaciğerin safra eksikliği yağ sindirimini bozup dalak/mide üzerinde yük yaratır — Ayurveda’da da benzer şekilde Agni bozulması yağ birikimine yol açar. Wood–Earth etkileşimi dengesizse; karaciğer (Wood) dalak/mideyi baskılayarak sindirim gücünü azaltabilir. yourhealthandlongevity.com
Metal & Water: Metal (akciğer/kalın bağırsak) ve Water (böbrek/mesane) ile ilişkiler daha dolaylıdır; örneğin karaciğerden kaynaklanan kronik inflamasyon (damp-heat) vücudun genel imun-metabolik tonusunu bozarak akciğer ve böbrek fonksiyonlarını etkileyebilir. Ayrıca 5-element döngülerine göre dengesizlikler zincirleme reaksiyon yapar. Healthline
5) Meridianler, Qi dengesizlikleri, çakra bağlantısı — pratik eşleştirme
Meridyenler: Karaciğer meridyeni ve safra kesesi meridyeni vücutta geniş dağılım gösterir; Qi bloke olduğunda kas-gerilimleri, menstrüel ağrılar, baş ağrıları ve sindirim şikayetleri görülebilir. Akupunkturla Liver Qi düzenlemesi ve Gallbladder meridyenine müdahale semptomatik rahatlama sağlar. traditional-acupuncture-clinic.com.au+1
Çakralar (Enerji merkezleri): Batılı bütünsel uygulamalarda karaciğer fonksiyonu genellikle solar plexus (Manipura) ve svadhisthana (sakral) ile ilişkilendirilir — bunlar kişisel güç, metabolizma, duygu ifadeleri ve yaratıcılıkla bağlantılıdır. Kronik bastırılmış öfke/duyuşlar solar plexus’ta gerilim yaratabilir; bu da TCM’de liver qi stagnation’a karşılık düşer. (Çakra-enerji haritaları geleneksel TCM/Ayurveda metinlerine direkt denk düşmez; modern köprüleştirmeler sembolik/nöropsikolojik paraleller kurar.)
6) Batı tıbbı / Fonksiyonel tıp ile entegrasyon (nasıl kurgulanır)
Amaç: Anatomik/biokimyasal gerçeklikleri (insülin direnci, hepatosit yağ birikimi, oksidatif stres, mitokondri disfonksiyonu, inflamasyon) TCM/Ayurveda’nın paternleriyle eşleştirip kişiselleştirilmiş, çok katmanlı bir tedavi planı oluşturmak.
Örnek yapı (adım adım):
Değerlendirme (modern): LFT’ler (ALT/AST), GGT, lipid panel, HbA1c/OGTT, karın USG/Elastografi; inflamasyon/patoloji için CRP, ferritin, tiroid paneli.
Enerji/patern değerlendirmesi (TCM/Ayurveda): Liver Qi stagnation, damp-heat, Kapha artışı, Agni zayıflığı vs.
Temel müdahale: Beslenme (Akdeniz/anti-fruktoz düşük), kilo kaybı hedefi, egzersiz (direnç + aerobik), alkol kesilmesi.
Destekleyici bitkisel / nutrasötik uygulamalar: Göstergeye göre (aşağıda detay).
Zihin-bireysel çalışma: Stres yönetimi, terapi/duygusal ifade, yoga/pranayama, akupunktur.
Takip: 3-6 aylık laboratuvar ve görüntü değerlendirmesi, semptom/enerji değerlendirmesi.
Bu kombinasyon, TCM/Ayurveda’nın “enerji-denge” çerçevesini biyomedikal hedeflerle uyumlandırır ve hem semptom hem de temel metabolik bozukluğu hedefler.
7) Fitoterapi: TCM ve Ayurveda bitkileri, mekanizmalar (özet + kanıt/uygulama notu)
Aşağıda hem klasik kullanım hem de modern mekanistik verilerle desteklenen bitkiler listelenmiştir. Not: doz, form ve etkileşimler kişiye göre değişir; hepatoprotektif etkiler kanıtı değişkendir — büyük kontrollü çalışmalar sınırlı.
TCM / Çin bitkileri
Bupleurum (Chai Hu, Bupleurum chinense / Bupleurum falcatum): Karaciğer Qi’ini regüle eden ana bitki; liver-qi stagnation paterninde kullanılır. Anti-inflamatuar ve adaptogenik etkiler rapor edilmiştir. traditional-acupuncture-clinic.com.au+1
Yin Chen Hao (Artemisia capillaris): Geleneksel olarak “damp-heat” ve sarılık tablosunda kullanılır; modern çalışmalarda hepatoprotektif etkiler gösterilmiş. PMC
Schisandra (Wu Wei Zi): Hepatoprotektif, antioksidan, hücresel detoksifikasyonu destekleyici; kronik karaciğer hastalıklarında destekleyici. Chrysalis Natural Medicine Clinic
Dandelion (Taraxacum), Turmeric (Curcuma longa): Anti-inflamatuar ve safra akışını destekleyici kullanım. Chrysalis Natural Medicine Clinic
Ayurveda / Hint bitkileri
Picrorhiza kurroa (Kutki, Katuki): Geleneksel olarak karaciğer destekleyici; bazı çalışmalarda NAFLD modellerinde olumlu etkiler rapor edilmiş. (J Ayurveda Integr Med vb. çalışmalar). ScienceDirect
Phyllanthus amarus / niruri (Bhumi Amla): Hepatoprotektif, antiviral (hepatit modellerinde) etkiler; Ayurveda’da yakrit destekleyici. ScienceDirect
Tinospora cordifolia (Guduchi): Rasayana, bağışıklık düzenleyici, hepatoprotektif potansiyel. PMC
Turmeric (Curcuma longa / curcumin): Antiinflamatuar, NF-κB inhibisyonu, mitokondriyal fonksiyon desteği; karaciğer enzimlerinde düşüş gösteren çalışmalar mevcut. Chrysalis Natural Medicine Clinic
Nutraceutic / Metabolit destekleri (TCM/Ayurveda ile kombine edilebilir)
Omega-3 (EPA/DHA): Trigliserid düşürür, NAFLD’da fayda gösteren meta-analizler var.
N-acetylcysteine (NAC), Alfa-lipoik asit (ALA): Antioksidan/mitokondri desteği.
Silymarin (Milk thistle): Hepatoprotektif, antioksidan; Batı ve tamamlayıcı uygulamalarda sık kullanılır.
(Modern çalışmalarda bu maddelerin bazıları NAFLD parametrelerini iyileştirebildi; ancak heterojen çalışmalar ve doz farklılıkları var — kişiselleştirme elzem.) Chrysalis Natural Medicine Clinic+1
8) Klinik/pratik öneriler ve güvenlik (özellikle klinisyen okurlara)
Herhangi bir fitoterapiyi kronik hasta, ilaç kullanan veya hamile/ emziren bir kişiye önermeden önce ilaç-etkileşimlerini (ör. antikoagülanlar, antidiabetikler, immünsüpresanlar) kontrol edin. Bazı bitkiler (ör. kava, bazı seneskiller içeren bitkiler) hepatotoksik olabilir.
Ayurvedik/TCM protokoller genelde kişiselleştirilir (dosha veya patern değerlendirmesi) — tek-bir bitki her zaman optimal değil.
Daha ağır karaciğer hasarında (fibrozis, siroz) geleneksel fitoterapi tek başına yetersizdir; modern hepatoloji gözetimi şarttır.
Ara hedefler koyun: 3-6 ayda laboratuvar (ALT/AST/GGT), lipit, HbA1c ve görüntü ile takip. Enerji/patern değişikliklerini TCM/Ayurveda kriterleri ile paralel izleyin.
Psiko-duygusal çalışmalar (terapi, nefes teknikleri, akupunktur, yoga) TCM/Ayurveda çerçevesinde karaciğer-bağlantılı duygusal düzelmeyi hızlandırır — fonksiyonel tıp da stres→metabolizma hattını desteklediği için bunları güçlü şekilde önerir. PMC+1
9) Özet / Kısa “köprü” paragrafı (batı + Asya tıbbı birlikteliği)
TCM: Karaciğer fonksiyon bozukluğunu Qi akışının tıkanması, damp-heat, yin/yang dengesizlikleri ile tanımlar; duygusal (özellikle öfke) etkiler teşhiste kritik. PMC
Ayurveda: NAFLD’ye yakın tabloları agni dushti, kapha/medo artışı ve yakrit bozukluğu çerçevesinde ele alır; panchakarma/deepana-pachana ve hepatostimulant bitkiler öne çıkar. Tijer+1
Fonksiyonel/Batı tıbbı: İnsülin direnci, inflamasyon, oksidatif stres ve mitokondriyal disfonksiyon mekaniklerini hedefler. Bu mekanizmalar Asya tıbbındaki paternlerle (Qi tıkanıklığı, agni bozukluğu) simetrik şekilde karşılanabilir; dolayısıyla entegre yaklaşım — yaşam tarzı + seçilmiş fitoterapi + zihin-vücut müdahaleleri — mantıklıdır. Healthline+1
10) Pratik reçete (örnek, kişiselleştirme gerektirir — klinisyen gözetiminde)
Klinik çerçeve: Hastada insulin direnci + USG’de steatoz + TCM’de “Liver Qi Stagnation + Damp-Heat” tespiti varsa:
Temel: Beslenme (şeker/fruktoz azaltımı), egzersiz, kilo yönetimi.
TCM destek (kısa dönem, patern başına): Bupleurum (Chai Hu) ile Qi akışını destekleyici formül + Yin Chen içeren bir formül ile damp-heat temizliği. Akupunktur: LR3 + GB34 + bazı distans/empiric noktalar. traditional-acupuncture-clinic.com.au+1
Ayurveda destek: Picrorhiza kurroa, Guduchi, Triphala ile Agni güçlendirme ve panchakarma altında detoks yaklaşımları (uygun hastalarda). ScienceDirect+1
Nutrasötikler: Omega-3, silymarin, ALA veya NAC düşünülebilir — ilaç etkileşimleri kontrol edilerek. Chrysalis Natural Medicine Clinic
(Bu örnek protokol kişiye/ilaçlara göre değişir; burası bir reçete değildir — klinik karar gerektirir.)
Kaynak/okuma önerileri (seçkisel)
TCM-Liver Qi teorisi ve paternler: Li Y. ve diğerleri; TCM review makaleleri. PMC+1
Five Elements ve organ eşleştirmesi: Healthline/ACAA materyalleri (özet-öğretici). Healthline+1
Ayurveda ve NAFLD çalışmaları / Picrorhiza verileri: J Ayurveda Integr Med / Tarapure et al. çalışmaları. ScienceDirect+1
Karaciğerin dilinde “rahat akan Qi”dir; hem biyokimyasal hem de duygusal tıkanıklıkların çözülmesi, tedaviyi derinleştirir — bu yüzden gerçek şifa hem hücrede hem de kalpte eşzamanlı gerçekleşir.
7. Sonuç: Karaciğerin sessiz çağrısı
Karaciğer yağlanması, yalnızca bir biyokimyasal dengesizlik değil, bedenin yaşam biçimimize verdiği bir uyarıdır.
Hücrelerimizdeki yağ damlacıkları, aslında modern hayatın fazlalıklarını — stres, şeker, toksin ve ihmal edilmiş hareketi — yansıtır.
Doğal tıp, karaciğeri sadece “temizlemek” değil, yaşamın ritmini yeniden dengelemek için bir rehberdir.




İletişim
Bize ulaşmak için aşağıdaki bilgileri kullanın.
Hİzmetler
Tıbbi Sorumluluk Reddi (Disclaimer):
Bu web sitesinde sunulan tüm içerikler yalnızca bilgilendirme amacı taşır. Sunulan bilgiler, profesyonel tıbbi tanı, tedavi ya da tavsiye yerine geçmez. Web sitesinde yer alan sağlık bilgilerinin, tıbbi karar verme sürecinizde tek başına kullanılmaması gerekir. Herhangi bir sağlık sorununuzda, şikâyetinizde ya da tedavi ihtiyacınızda mutlaka bir doktor veya ilgili uzman sağlık profesyoneline danışınız. Bu sitede yer alan bilgilerin kullanımından doğabilecek herhangi bir doğrudan ya da dolaylı zarardan dolayı site sahibi veya yazarlar sorumluluk kabul etmez.
© 2025 İlkiz Açıkalın
