"Bitkisel Kozmetik"
PANKREAS KANSERİNDE KEMOTERAPİ ve METABOLİK-BİTKİSEL PROTOKOLLER
Dr. Aleksi
12/23/20259 min oku


PANKREAS KANSERİNDE KEMOTERAPİ ve METABOLİK-BİTKİSEL PROTOKOLLER
"Kemoterapi Dışı Sağkalım Öyküleri ve Biyokimyasal Arka Plan"
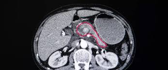
Pankreas kanseri, tümörün etrafını "Desmoplazi" denilen yoğun, lifli bir duvarla örmesiyle bilinir. Bu duvar yüzünden kemoterapi ilaçları tümörün merkezine ulaşmakta zorlanır. Doğal tedavilere yönelen doktorların ve hastaların temel stratejisi, bu duvarı yıkmak ve bağışıklık sistemini tümöre saldırması için "kışkırtmaktır".
Bu alandaki en çarpıcı öykü ve protokol, Dr. Burton Berkson'a aittir.
1. DR. BURTON BERKSON VE "ALA-LDN" PROTOKOLÜ
Hikaye: Dr. Berkson, aslında bir kanser doktoru değil, bir iç hastalıkları uzmanı ve mikologdu (mantar uzmanı). Ancak karaciğer ve pankreas hastalıklarında geliştirdiği antioksidan tedavilerle tanındı.
Vaka Öyküsü (J.A.): 2002 yılında, pankreas kanseri karaciğerine sıçramış (metastatik) bir hasta olan J.A., MD Anderson Kanser Merkezi'nden "Yapılacak bir şey yok, evine git" denilerek taburcu edildi. Hasta Dr. Berkson'a başvurdu. Dr. Berkson, bağışıklık sistemini ve karaciğeri desteklemek için aşağıda detaylandırdığım protokolü uyguladı. Hasta, teşhisten sonra 9 yıl boyunca yüksek yaşam kalitesiyle yaşadı ve kanserden değil, başka sebeplerden vefat etti. Bu vaka, Integrative Cancer Therapies dergisinde yayınlandı.
Kullanılan Biyokimyasal Silahlar:
İntravenöz (Damardan) Alfa Lipoik Asit (ALA):
Mekanizma: ALA, evrensel bir antioksidandır. Ancak kanser hücrelerinde paradoksal bir etki gösterir. Kanser hücresinin metabolizmasını bozar ve "Pro-oksidan" gibi davranarak tümör hücresinin kendi kendini yok etmesini (apoptoz) tetikler. Ayrıca karaciğer enzimlerini onarır.
Düşük Doz Naltrekson (LDN):
Mekanizma: Aslen bir bağımlılık ilacı olan Naltrekson, çok düşük dozda (3-4.5 mg) alındığında vücudun Endorfin ve Enkefalin üretimini artırır. Bu doğal opiatlar, bağışıklık sisteminin "T Hücrelerini" ve "Doğal Katil (NK)" hücrelerini 3 katına kadar artırır. NK hücreleri, tümöre saldıran askerlerdir.
Hidroksisitrik Asit (HCA):
Mekanizma: Kanser hücreleri, enerji üretmek için yağı ve şekeri parçalayan Sitrat Liyaz enzimine muhtaçtır. HCA bu enzimi bloke eder. Yani tümörü "aç bırakır".
2. DR. NICHOLAS GONZALEZ VE "ENZİM" PROTOKOLÜ
Hikaye: Dr. Gonzalez, New York'ta çalışan bir immünologdu. Tedavisi, 1900'lerin başında İskoç embriyolog Dr. John Beard'ın teorisine dayanıyordu: "Pankreas kanseri hücresi, plasenta hücresine (trofoblast) benzer."
Gonzalez'in teorisine göre; plasenta anne karnında hızla büyür ama bebeğin pankreası enzim üretmeye başladığında büyümesi durur. Demek ki kanseri durduracak olan şey Pankreas Enzimleridir.
Kullanılan Strateji:
Yüksek Doz Pankreas Enzimleri (Domuz Kaynaklı): Günde 100'den fazla kapsül Tripsin ve Kimotripsin enzimi.
Mekanizma: Bu enzimler kana karışır ve tümörün etrafındaki o sert protein kalkanını (fibrin tabakası) sindirir. Kalkanı eriyen tümör, bağışıklık sistemi tarafından "görünür" hale gelir ve yok edilir.
Kahve Lavmanı (Detoks): Karaciğerin safra kanallarını açarak, ölen tümör hücrelerinin toksinlerini atmak için.
Kişiye Özel Diyet: Genellikle organik, çiğ gıda ağırlıklı beslenme.
Not: Dr. Gonzalez'in bazı hastalarının (evre 4 pankreas kanseri dahil) 10 yıldan fazla yaşadığı belgelenmiştir, ancak bu protokol klinik deneylerde (NIH çalışması) standart kemoterapiden daha üstün bulunmamış ve tartışmalı kalmıştır. Yine de "Surviving Terminal Cancer" adlı kitabında bu vakaları detaylandırmıştır.
3. DENENMİŞ BAŞARILI BULUNMUŞ BAZI BİTKİSEL METABOLİTLER
Bu öykülerdeki ortak nokta, kullanılan bazı spesifik bitkisel metabolitlerdir. Pankreas kanserinde en çok araştırılan ve "hayatta kalanların" diyetinde mutlaka bulunan 3 ajan şunlardır:
A. KURKUMİN (Zerdeçalın Özü) - Lipozomal Form
MD Anderson Kanser Merkezi'nde yapılan çalışmalarda, pankreas kanseri hücrelerinin büyüme yollarını (NF-kB) bloke ettiği gösterilmiştir.
Etki: Tümörün yeni damar oluşturmasını (anjiyogenez) engeller.
Örnek: Vicky Stewart adlı bir İngiliz kadın, pankreas kanseri teşhisi sonrası cerrahi ve kemoterapiyi reddedip yüksek doz Kurkumin ve diyetle 6 yıldan fazla yaşadığını medyada duyurmuştur. (Not: Bu anekdottal bir bilgidir).
B. ÖKSE OTU EKSTRAKTI (Mistletoe / Iscador)
Avrupa'da (özellikle Almanya'da) onkologların reçete ettiği, en yaygın tamamlayıcı kanser tedavisidir.
Etki: Viscotoxin ve Lektin içerir. Doğrudan tümör içine enjekte edildiğinde (İntratümöral) tümör hücresini nekroza uğratır ve bağışıklık sistemini o bölgeye çeker. Johns Hopkins Üniversitesi, ökse otunun kemoterapiyle birlikte veya tek başına kullanımını araştırmaktadır.
C. TIBBİ MANTARLAR (Turkey Tail / Reishi)
Metabolit: Beta-Glukanlar ve PSK.
Etki: Japonya'da PSK (mantar ekstresi), kanser tedavisinde resmi bir ilaçtır. Pankreas kanserinde kemoterapinin yan etkilerini azalttığı ve bağışıklığı çöküşten kurtardığı bilinmektedir.
BİLİMSEL VE ELEŞTİREL ANALİZ: NEDEN HERKES KURTULAMIYOR?
Pankreas kanserinden doğal yollarla kurtulanların öykülerinde genellikle şu ortak "Zemin" vardır:
Tümörün Genetiği: Bazı pankreas tümörleri (örneğin Nöroendokrin tümörler - Steve Jobs'un türü), Adenokarsinomlara göre çok daha yavaş ilerler. Doğal yöntemlerle yıllarca yaşayanların bir kısmı, aslında bu yavaş türü taşıyan şanslı gruptur.
Radikal Yaşam Değişikliği: Bu insanlar sadece bir hap almazlar. Şekeri tamamen keserler (Warburg Etkisi - kanser şekerle beslenir), stresi yönetirler ve uykularını optimize ederler. Buna "Metabolik Araziyi Değiştirmek" denir.
Kombine Saldırı: Başarılı örneklerde tek bir bitki değil; Enzim + ALA + LDN + Diyet + Hipertermi (Isı tedavisi) gibi çoklu bir saldırı planı uygulanır.
Modern onkoloji tümörü "yok edilecek bir düşman", bu alternatif protokoller ise vücudu "tümörü barındırmayacak hale getirilmesi gereken bir bahçe" olarak görür.
Dr. Berkson'un protokolü veya Dr. Gonzalez'in enzim teorisi, tıp dünyasında hala "sınırda" kabul edilir. Ancak bu protokollerle hayata tutunan hastaların varlığı, biyokimyasal olarak şu gerçeği fısıldar: Vücudun kendi bağışıklık sistemi, doğru metabolitlerle (ALA, Enzimler, LDN) uyandırıldığında, en ölümcül tümöre bile kafa tutabilecek potansiyele sahiptir.
Bu öyküler, "tedaviyi reddedin" çağrısı değil; "tedaviye bedenin kendi gücünü de katın" çağrısıdır. Pankreasın o karanlık, lifli duvarını aşmanın yolu, bazen sadece zehirli bir ilaçtan değil, doğanın zeki moleküllerinden geçer.
PANKREAS KANSERİ VE BİLİMİN ARAYIŞI
"Mitolojiden Nanoteknolojiye Uzanan Biyokimyasal Bir Yolculuk"
Pankreas kanseri, modern tıbbın en zorlu kalesi, biyolojinin en karmaşık düğümlerinden biridir. Karın boşluğunun derinliklerine gizlenmiş bu organ hastalandığında, süreç genellikle "sessiz" ve "agresif" ilerler. Şu an için elimizdeki tek kanıtlanmış silahlar cerrahi bıçak, kemoterapi ve radyoterapidir.
Ancak insanlık, tarih boyunca gözünü hep doğaya çevirmiştir. Antik çağlarda "zehri çözen" olarak bilinen bitkiler, bugün modern laboratuvarlarda mikroskop altındadır. Peki, internette dolaşan "Sadece otlarla iyileşen doktorlar" efsaneleri ne kadar gerçektir? Bilim bu konuda ne söylüyor?
BÖLÜM I: EFSANELER VE KLİNİK GERÇEKLİK
Öncelikle acı ama hayati bir gerçeği netleştirmek gerekir: Tıp literatüründe, ileri evre pankreas kanseri olup cerrahi veya kemoterapiyi reddederek, sadece bitkisel karışımlarla tamamen iyileştiği kanıtlanmış ve belgelenmiş bir vaka (doktor veya hasta) bulunmamaktadır.
İnternetteki bu tür "mucizevi kurtuluş" hikayeleri genellikle anekdot niteliğindedir. Tıbbi açıdan doğrulanmamış bu anlatılar, hastaların zaman kaybetmesine ve kanıtlanmış tedavilerden uzaklaşmasına neden olabilir. Modern onkolojide bitkisel bileşenler bir "alternatif" değil, ancak tedavinin yan etkilerini azaltan veya etkinliğini artıran bir "tamamlayıcı" olarak yer bulabilir.
BÖLÜM II: LABORATUVARDAKİ BİYOKİMYASAL DANS
Klinik (insan) çalışmaları henüz yetersiz olsa da, laboratuvar ortamında (in vitro) ve hayvan deneylerinde doğanın molekülleri, kanser hücrelerine karşı büyüleyici mekanizmalar sergilemektedir. İşte bu moleküler oyuncular ve sahneledikleri performanslar:
1. KURKUMİN (Zerdeçalın Altın Zırhı)
Hint tıbbının sarı mucizesi, pankreas kanseri hücrelerine karşı çok cepheli bir savaş açar.
Yangıyı Söndürmek (NF-κB Baskısı): Kanser, kronik bir iltihap (inflamasyon) ortamında büyür. Kurkumin, bu yangını körükleyen genetik şalteri (NF-κB) kapatmaya çalışır.
İntihar Emri (Apoptoz): Kanser hücresi "ölümsüz" olduğunu sanır. Kurkumin, Kaspaz-3 enzimlerini aktive ederek hücreye "Artık ölmelisin" emrini verir.
Damar Kesimi: Tümörün beslenmek için yeni damar yolları açmasını (Anjiyogenez - VEGF) engeller.
2. RESVERATROL (Üzümün Mor Freni)
Kırmızı şarabın ve üzüm kabuğunun sırrı olan bu molekül, kanser hücresinin kontrolsüz bölünme hızına bir "dur" ihtarı çeker.
Döngüyü Durdurma: Hücrenin bölünme evreleri (G1/S) arasına girerek çoğalmayı yavaşlatır.
Kök Hücre Saldırısı: Tümörün en dirençli kısmı olan "kök hücrelerin" savunma kalkanlarını (Notch ve Hedgehog yolakları) kırmayı hedefler.
3. EPİGALLOKATEŞİN GALLAT (Yeşil Çayın Dingin Gücü - EGCG)
Yeşil çayın ana aktif maddesi, tümörün mikroçevresini değiştirir.
Proliferasyon Baskısı: Hücre büyümesini sağlayan sinyal hatlarını (MAPK/ERK) kesintiye uğratır.
Bağışıklık Desteği: Vücudun kendi askerlerinin tümör bölgesinde daha aktif olmasına zemin hazırlar.
4. DİĞER MÜTTEFİKLER: QUERCETİN VE TİMOKİNON
QUERCETİN: Hücrenin enerji santrallerini (mitokondri) bozarak kanser hücresini strese sokar ve kemoterapiye daha duyarlı hale getirebilir.
TİMOKİNON (Çörek Otu): "Ölüm hariç her derde deva" denilen bu kara inci, kanser hücresinde oksidatif stresi artırarak onu içten içe çökertmeye çalışır.
BÖLÜM III: NEDEN HÂLÂ BİR İLAÇ DEĞİL? (BİYOYARARLANIM SORUNU)
Eğer bu moleküller laboratuvarda bu kadar etkiliyse, neden eczanede pankreas kanseri ilacı olarak satılmıyor? Cevap: Biyoyararlanım.
Zerdeçal yediğinizde veya resveratrol aldığınızda, bu moleküllerin çok büyük bir kısmı karaciğerde parçalanır veya bağırsaktan atılır. Tümöre ulaşan miktar "savaşmak" için çok azdır. Doğal moleküller, vücut tarafından hızla metabolize edilen narin yapılardır. Bu yüzden insan çalışmalarında, laboratuvar sonuçları kadar dramatik etkiler görülmemiştir.
BÖLÜM IV: GELECEĞİN VİZYONU (NANOTEKNOLOJİ VE SİNERJİ)
Bilim pes etmiş değil. Aksine, doğanın bu moleküllerini hedefe ulaştırmak için fütüristik yöntemler geliştiriliyor:
Truva Atı (Nanoteknoloji): Kurkumin veya Resveratrol, mikroskobik yağ kapsüllerinin (Lipozomlar) veya nanopartiküllerin içine gizleniyor. Böylece karaciğere takılmadan, doğrudan tümör dokusuna taşınabiliyor.
Güç Birliği (Kombinasyon Tedavisi): Bu bitkisel ajanlar tek başına değil, kemoterapi ilaçlarıyla (Gemcitabine vb.) birlikte veriliyor. Amaç, kemoterapinin dozunu düşürmek ama etkisini artırmak.
Kişiselleştirilmiş Atlas: Her hastanın tümör genetiğine göre, hangi bitkisel molekülün daha etkili olacağını belirleyen genetik haritalar çıkarılıyor.
SON SÖZ: UMUT VE GERÇEKLİK ARASINDAKİ KÖPRÜ
Pankreas kanseri ile mücadele, ne sadece modern tıbbın soğuk koridorlarında ne de sadece doğanın yeşil vadilerinde kazanılabilir. Gerçek zafer, bu iki dünyanın sentezindedir.
Zerdeçalın altın sarısı, üzümün moru ve yeşil çayın dinginliği; laboratuvarlarda umut verici birer "moleküler asker" olduklarını kanıtlamıştır. Ancak şu an için bu askerler, cerrahinin ve kemoterapinin yerini alacak generaller değil, onların yanındaki sadık yardımcı kuvvetlerdir. Bilim, nanoteknoloji ve genetikle bu moleküllerin gücünü artırarak, gelecekte "sessiz katil"e karşı daha gür bir sesle cevap vermeye hazırlanmaktadır. Bu yolculuk, doğanın kadim bilgeliğini modern tıbbın teknolojisiyle buluşturma çabasının yaşayan bir belgeselidir.






İletişim
Bize ulaşmak için aşağıdaki bilgileri kullanın.
Hİzmetler
Tıbbi Sorumluluk Reddi (Disclaimer):
Bu web sitesinde sunulan tüm içerikler yalnızca bilgilendirme amacı taşır. Sunulan bilgiler, profesyonel tıbbi tanı, tedavi ya da tavsiye yerine geçmez. Web sitesinde yer alan sağlık bilgilerinin, tıbbi karar verme sürecinizde tek başına kullanılmaması gerekir. Herhangi bir sağlık sorununuzda, şikâyetinizde ya da tedavi ihtiyacınızda mutlaka bir doktor veya ilgili uzman sağlık profesyoneline danışınız. Bu sitede yer alan bilgilerin kullanımından doğabilecek herhangi bir doğrudan ya da dolaylı zarardan dolayı site sahibi veya yazarlar sorumluluk kabul etmez.
© 2025 İlkiz Açıkalın
