"Bitkisel Kozmetik"
Rahim İçi Duvarında Kalınlaşma (Endometrial Hiperplazi) & Kanser Riski
Dr. Aleksi
1/6/20268 min oku


DAD projesi kapsamındaki, kanıta dayalı tıp yaklaşımımızla, kadın sağlığının en kritik konularından birini, Endometrial Hiperplaziyi masaya yatırıyoruz.
Endometriyal Hiperplazi: Hormonal Kaosun Anatomisi
Bu sadece rahim içindeki bir "kalınlaşma" meselesi değil; hücresel proliferasyon ile apoptoz (programlı hücre ölümü) arasındaki dengenin, östrojen lehine bozulduğu bir "biyokimyasal isyan" halidir. Rahim iç duvarı (Endometrium), her ay östrojenin "inşa et" ve progesteronun "durdur ve olgunlaştır" emirleri arasında hassas bir dans sergileyen dinamik bir biyolojik yataktır. Ancak bu denge bozulduğunda, duvar kontrolsüzce kalınlaşır ve hastalık tablosu başlar.
1. Mekanizma: Karşılanmamış Östrojen (Unopposed Estrogen)
Sorun: Normal döngüde östrojen duvarı kalınlaştırır, progesteron ise bu büyümeyi frenler. Eğer ovülasyon (yumurtlama) olmazsa veya dışarıdan sadece östrojen gelirse, duvarın büyümesini durduracak "fren" (progesteron) yoktur.
Sonuç: Endometrium hücreleri aşırı çoğalır (Hiperplazi). Bu durum, Polikistik Over Sendromu (PCOS)'lu hastalarda, obezitede (yağ dokusu östrojen üretir) ve menopoz geçiş döneminde sıkça görülür.
2. Kritik Eşikler ve Risk Analizi (Bayesyen Bakış)
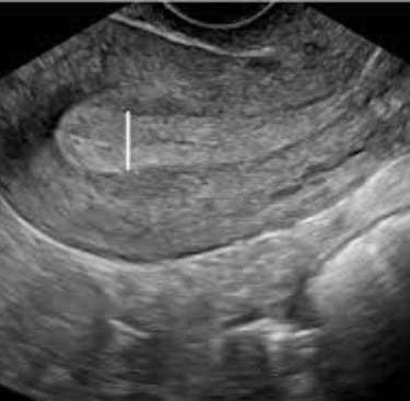
Tıbbi görüntülemede (Transvajinal Ultrason) ölçülen milimetrik değerler, kanser riskini belirleyen en önemli verilerdir:
Premenopozal (Adet gören): 8-10 mm normal kabul edilir.
Postmenopozal (Menopoz sonrası): Burası kırmızı çizgidir. 5 mm'nin altı güvenlidir (Kanser riski <%1). Eğer menopoz sonrası bir kadında duvar 5 mm'den kalınsa ve kanama varsa, patolojik inceleme şarttır.
3. Vücudun İmdat Çığlığı: Semptomlar
Kalınlaşmış rahim içi duvar, stabilitesini kaybeder ve düzensiz dökülmeye başlar.
En Önemli Sinyal: Menopoz sonrası tek damla bile kanama.
Diğerleri: Adet dönemleri arasında kanama, yoğun pıhtılı adetler ve uzayan döngüler.
Not: Cinsel yaşamı doğrudan fiziksel olarak etkilemez ancak kanama düzensizliği yaşam kalitesini düşürür.
Klinik Not: Bu tablo sadece lokal bir rahim sorunu değil, genellikle sistemik bir metabolik ve hormonal dengesizliğin (Östrojen Dominansı) rahimdeki yansımasıdır. Tedavide sadece duvarı inceltmek değil, östrojeni yükselten kök nedeni (obezite, insülin direnci, çevresel toksinler) bulmak da hayati önem taşır.
Aşağıda, Bayesyen tanı modelleri, Likelihood Ratio (LR) analizleri ve ileri düzey fitoterapötik metabolitleri içeren akademik incelemeyi paylaşıyorum.
Endometrial Hiperplazi: Patofizyolojiden Bayesyen Tanı Algoritmalarına Translasyonel Bir Yaklaşım
1. Tanım ve Patofizyolojik Zemin: "Karşılanmamış Östrojen" (Unopposed Estrogen)
Endometrial Hiperplazi (EH), endometrial bezlerin stromaya oranla artışı sonucu oluşan düzensiz proliferasyondur. Temel mekanizma, progesteronun dengeleyici etkisi olmaksızın, östrojenin endometriuma sürekli "büyü" sinyali göndermesidir (mitojenik etki).
DSÖ (WHO) 2014 Sınıflaması risk yönetimimiz için en kritik ayrımdır:
Atipisiz Hiperplazi: Kanserleşme riski düşüktür (<).
Atipili Hiperplazi / Endometrial İntraepitelyal Neoplazi (EIN): Bu aslında bir pre-kanseröz durumdur. Eş zamanlı veya gelecekteki kanser riski yüksektir ().
2. Risk Faktörleri ve Klinik Belirtiler
Risk Faktörleri:
Obezite: Adipoz dokuda aromataz aktivitesi ile androjenlerin östrojene (E1 - Estron) dönüşümü. BMI >30 olanlarda risk belirgin artar.
Anovulasyon: PCOS (Polikistik Over Sendromu) ve perimenopoz.
Lynch Sendromu: Genetik yatkınlık.
Tamoksifen Kullanımı: Memede anti-östrojenik, uterusta zayıf östrojenik etki.
Belirtiler:
Anormal Uterin Kanama (AUK) – En sık görülen semptom.
Postmenopozal Kanama (PMK) – En alarm verici semptom.
3. Bayesyen Tanı ve Analitik Yaklaşım
Burada "klinik sezgi"yi matematiksel olasılığa döküyoruz. Amacımız gereksiz biyopsileri azaltmak ama kanseri asla kaçırmamak.
Postmenopozal Kanamada (PMK) Karar Destek Sistemi:
Postmenopozal kanama ile gelen bir kadında endometrial kanser (EK) olasılığı ("Pre-test Probability") yaklaşık %10'dur. Transvajinal Ultrasonografi (TVUS) ile ölçülen Endometrial Kalınlık (EK), bu olasılığı değiştiren en güçlü belirteçtir.
Likelihood Ratio (LR) Analizi
Tanıda LR (Olasılık Oranı) değerlerini kullanarak post-test olasılığımızı hesaplarız:
Senaryo 1: Endometrial Kalınlık ≤4mm (İnce Endometrium)
Negatif Likelihood Ratio (LR−): 0.1 civarındadır.
Yorum: %10 olan kanser riskini, %1'in altına indirir.
Karar: Biyopsi gerekmeyebilir (bireysel risk faktörleri yoksa), takip yeterlidir.
Senaryo 2: Endometrial Kalınlık ≥5mm
Sensitivite: %96, Spesifisite: %60 civarı.
Yorum: Kalınlık arttıkça kanser riski artar, ancak her kalınlık kanser değildir (polip, fibroid olabilir).
Karar: Doku tanısı (Biyopsi/Histeroskopi) zorunludur
4. Modern ve Bütüncül Tedavi Yaklaşımı
Medikal: Eksik olan "freni" yerine koymak (Progesteron tedavisi/Mirena gibi hormonlu spiraller).
Fonksiyonel Tıp ve Önleyici Perspektif: Bizim DAD projesindeki farkımız burada başlıyor. Sadece "kalınlığı inceltmek" yetmez, östrojen metabolizmasını ve insülin sinyalizasyonunu optimize etmeliyiz.
Cerrahi: İlaçla kontrol altına alınamayan, atipik (kanserleşme eğilimi olan) hücrelerin varlığında histerektomi (rahmin alınması).
Konvansiyonel Tıp
Atipisiz: Progestin tedavisi (Mirena RİA veya oral progestinler). Progesteron, östrojen reseptörlerini down-regüle eder ve stromayı desidualize ederek atılmasını sağlar.
Atipili (EIN): Standart tedavi Histerektomidir (rahmin alınması). Fertilite isteği varsa yüksek doz progestin + çok sıkı takip (3 ayda bir biyopsi).
5. Doğal Tıp: Bitkisel Bileşenler ve Metabolitler (Kanıta Dayalı)
Burada bitkinin kendisinden ziyade, biyolojik olarak aktif metabolitlerine odaklanıyoruz. Hedef: Östrojen detoksifikasyonu ve apoptoz indüksiyonu.
A. İndol-3-Karbinol (I3C) ve Diindolilmetan (DIM)
Kaynak: Turpgiller (Brassica grubu sebzeler: Brokoli, karnıbahar, Lahana).
Mekanizma: Karaciğerdeki Sitokrom P450 faz 1 enzimlerini modüle eder. Östrojenin kanserojen olan 16-alfa-hidroksiöstron (16α−OHE1) yerine, koruyucu olan 2-hidroksiöstron (2−OHE1) yoluna girmesini sağlar.
Etki: Antiproliferatif. "İyi östrojen" metabolitini artırır.
B. Kalsiyum D-Glukarat (Calcium D-Glucarate)
Mekanizma: Bağırsaktaki Beta-glukuronidaz enzimini inhibe eder.
Neden Önemli? Karaciğer östrojeni paketleyip (konjugasyon) bağırsağa atar. Eğer bağırsak florası bozuksa (disbiyozis) ve beta-glukuronidaz yüksekse, paket açılır ve östrojen geri emilir (Enterohepatik sirkülasyon). Bu metabolit, östrojenin dışkı ile atılmasını garanti eder.
C. Epigallokateşin Gallat (EGCG)
Kaynak: Yeşil çay ekstraktı.
Mekanizma: VEGF (Vasküler Endotelyal Büyüme Faktörü) inhibisyonu.
Etki: Hızla büyüyen endometrial dokunun damarlanmasını (anjiyogenez) engelleyerek hiperplaziyi baskılar. Aynı zamanda pro-apoptotiktir.
D. Lipozomal Kurkumin - Biyoyararlanımı Yüksek Form
Mekanizma: NF-κB yolağını inhibe ederek inflamasyonu düşürür. Endometrial hücrelerde p53 gen ekspresyonunu artırarak apoptozu tetikler.
Kritik Not: Lipozomal veya piperin ile kombine formları tercih edilmelidir.
E. Berberin (Berberine)
Hedef: İnsülin Direnci.
Mekanizma: AMPK aktivasyonu. İnsülin, endometrium için direkt bir büyüme faktörüdür (IGF-1 üzerinden). İnsülini düşürmek, östrojenin proliferatif etkisini zayıflatır. Metformin benzeri etki gösterir ancak doğal bir alkaloiddir.
6. Özet ve DAD Protokolü Önerisi
Endometrial Hiperplazi, vücudun "Ben bu östrojen yükünü ve insülin uyarısını yönetemiyorum" çığlığıdır.
Önerilen Algoritma:
Tanı: TVUS ile ET>4mm (postmenopozal) → Biyopsi (Histopatolojik Ayrım).
Risk Analizi: Atipi var mı? (Varsa Cerrahi/Onkolojik öncelik).
Fonksiyonel Müdahale (Atipisiz Vakalarda veya Destek Olarak):
İnsülin duyarlılığını artır (Düşük Glisemik Yük + Berberin).
Östrojen metabolizmasını 2-OH yönüne kaydır (DIM + I3C).
Enterohepatik geri emilimi kes (Kalsiyum D-Glukarat + Probiyotik).
Anti-inflamatuar zemin (Kurkumin + Omega-3).
DAD projesinin kalbi, veriyi sadece "okumak" değil, onu matematiksel bir kesinlikle işleyerek belirsizliği (uncertainty) minimize etmektir. Tıpta, özellikle onkolojik şüphede, "eendometrium kalın" demek yetmez; "Ne kadar kalın ve bu kalınlık riski kaç kat artırıyor?" sorusuna yanıt vermeliyiz.
Literatürdeki meta-analizlerden (Timmermans, Smith-Bindman ve IETA çalışmaları) ve klinik Bayesyen modellerden süzülmüş, Interval Likelihood Ratio (iLR - Aralık Olasılık Oranı) değerlerini çıkardım.
menopoz sonrası (Postmenopozal) Kanama (PMK) ile gelen bir hastada Pre-test Olasılık (Kanser Riski) literatürde standart olarak %10 kabul edilir. Aşağıdaki LR değerleri bu %10'u nereye taşıdığımızı gösterir.
1. Endometrial Kalınlık (EK) Aralıklarına Göre iLR Değerleri
Burada kümülatif değil, "aralık bazlı" (interval) değerlendirme yapıyoruz. Çünkü 6 mm ile 18 mm aynı kefeye konamaz.
A. Gri Bölge: 5 mm - 10 mm
Patoloji: Bu aralıkta en sık Endometrial Polip, Basit Hiperplazi veya Atrofik Kistik Endometrium görülür. Kanser nadirdir ama mümkündür.
Interval Likelihood Ratio (iLR): 1.5 – 2.5
Bayesyen Yorum: %10 olan başlangıç riskini, yaklaşık %15 - %20 bandına çeker
Klinik Karar: Kesinlikle doku tanısı gerekir ama panik yapılmaz. Ofis histeroskopi altın standarttır.
B. Alarm Bölgesi: 11 mm - 14 mm
Patoloji: Atipili Hiperplazi (EIN) ve erken evre Endometrial Kanser riski belirginleşir. Polip olasılığı hala vardır ama malignite şüphesi artar.
Interval Likelihood Ratio (iLR): 5.0 – 8.0
Bayesyen Yorum: %10 olan riski, %35 - %50 bandına fırlatır.
Klinik Karar: "Kanser değilse bile pre-kanserözdür" yaklaşımı esastır. Hızlı biyopsi/küretaj şarttır.
C. Kırmızı Bölge: > 14 mm (Yüksek Tümör Yükü Şüphesi)
Patoloji: İleri evre hiperplazi veya invaziv karsinom.
Serviks/Uterin Bağlantısı: Eğer kalınlık servikal kanala doğru uzanıyorsa veya serviks stroması düzensizse, Serviks Kanseri veya uterustan servikse yayılan (Evre II) hastalık düşünülür. Ancak EK tek başına serviks kanseri tanısı için kullanılmaz (Serviks için Pap/HPV/Muayene esastır). EK'nin >14 mm olması primer endometrial kanser için çok güçlü bir belirteçtir.
Interval Likelihood Ratio (iLR): > 15.0 - 20.0
Bayesyen Yorum: %10 olan riski, %65 - %80 ve üzerine taşır.
Klinik Karar: Görüntüleme (MRI) ile evreleme ve onkolojik cerrahi hazırlığı düşünülmelidir.
2. Bayesyen Skorlama Matriksi ve Toplam Puanın LR Karşılığı
Önceki analizimizde oluşturduğumuz risk faktörlerini (Yaş, BMI, Diyabet vb.) bir Skorlama Matriksi (Nomogram) haline getirelim.
Skorlama Değişkenleri (Puanlar):
Yaş: <55 (0), 55-65 (1), >65 (2)
BMI: <30 (0), 30-35 (1), >35 (2)
Diyabet/HT: Yok (0), Var (1)
Kanama: Tek atak (0), Tekrarlayan/İnatçı (2)
Endometrial Kalınlık (Kritik Ağırlık):
<4 mm (-2) [Negatif puan, riski düşürür]
5-10 mm (2)
11-14 mm (4)
14 mm (6)
Toplam Puan Kategorileri ve Yaklaşık LR Değerleri
Bu matriks, hastayı triage etmek (önceliklendirmek) için kullanılır. Pre-test kanser olasılığı %10 olarak alındı.
< 0 Puan : Çok Düşük Risk, LR: 0.1 Post-test kanser olasılığı. <%1, Takip et. Gereksiz biyopsiden kaçın. Hormonal dengeye odaklan.
1 - 4 Puan: Orta Risk, LR: 1.5 - 3.0 Post-test kanser olasılığı: %15 - %25, Pipelle Biyopsi. Polip şüphesi varsa SIS (Salin İnfüzyon Sonografi).
5 - 8 Puan: Yüksek Risk, LR: 6.0 - 10.0, Post-test kanser olasılığı %40 - %55, Histeroskopi + D&C. Kör biyopsi yapma (atlayabilirsin).
> 9 Puan: Çok Yüksek Risk, LR: > 20.0 Post-test kanser olasılığı: >%70 - %85, Histeroskopi + MRI. Malignite yönetimi gibi hareket et.
Sonuç: Yüksek skor, sadece pipelle biyopsi değil, doğrudan histeroskopi + küretaj (D&C) gerektirir. Çünkü fokal lezyonlar kör biyopside atlanabilir.
3. Bilimsel Analiz ve Akademik "Case Study" (Örnek Vaka)
Bu sistemi bir vaka üzerinde çalıştıralım:
Hasta: 68 yaşında (2 puan), Obez BMI 38 (2 puan), Diyabetik (1 puan), Tekrarlayan kanama (2 puan), USG'de 12 mm Endometrium (4 puan).
Toplam Skor: 2+2+1+2+4 = 11 Puan.
Bayesyen Hesaplama:
Pre-test Olasılık (Odds): %10 (0.11)
Likelihood Ratio: Skor >9 olduğu için LR'yi 20 alalım.
Post-test Odds: 0.11 X 20 = 2.2
Post-test Olasılık: 2.2 / (1 + 2.2) = %68
Yorum: Bu hasta, biyopsi sonucu gelmeden bile bizim için %68 olasılıkla kanserdir. Yaklaşımımız sadece tanısal değil, operatif hazırlık içermelidir. "Hadi bir ilaç verip bakalım" deme lüksümüz yoktur.
Özet
Endometrium kalınlığı: 5-10 mm arası gri bölgedir ve klinisyeni en çok zorlayan alandır; burada LR düşüktür, yetenek ve biyopsi kalitesi konuşur. Ancak >11 mm ve özellikle >14 mm kalınlık, eşlik eden risk faktörleriyle birleştiğinde (Yüksek Skor), kanser için bir "kırmızı alarm"dır.




İletişim
Bize ulaşmak için aşağıdaki bilgileri kullanın.
Hİzmetler
Tıbbi Sorumluluk Reddi (Disclaimer):
Bu web sitesinde sunulan tüm içerikler yalnızca bilgilendirme amacı taşır. Sunulan bilgiler, profesyonel tıbbi tanı, tedavi ya da tavsiye yerine geçmez. Web sitesinde yer alan sağlık bilgilerinin, tıbbi karar verme sürecinizde tek başına kullanılmaması gerekir. Herhangi bir sağlık sorununuzda, şikâyetinizde ya da tedavi ihtiyacınızda mutlaka bir doktor veya ilgili uzman sağlık profesyoneline danışınız. Bu sitede yer alan bilgilerin kullanımından doğabilecek herhangi bir doğrudan ya da dolaylı zarardan dolayı site sahibi veya yazarlar sorumluluk kabul etmez.
© 2025 İlkiz Açıkalın
